Tooth Polishing: Why should you do it
Tooth Polishing Tooth Polishing is a part of the dental cleaning procedure and is used to remove plaque and tartar. Plaque and Tartar have the tendency of creating cavities and thereby causing further damage....
A blog that has solution to all your dental issues
Tooth Polishing Tooth Polishing is a part of the dental cleaning procedure and is used to remove plaque and tartar. Plaque and Tartar have the tendency of creating cavities and thereby causing further damage....
All-on-Four Implants Teeth Now/All-on-Four Implants can also be carried out for patients who have previously lost their own teeth and currently wear dentures. The temporary teeth are fixed so patients can be free from...
Professional Teeth Whitening Teeth whitening is one of the most popular cosmetic dental treatments for achieving a brighter and more confident smile. Over time, teeth can become stained or discolored due to food, beverages,...
Dental Implant Surgery Dental Implant Surgery is carried out to replace the root of a missing tooth. While performing this surgery your dentist will place an artificial tooth on the extension of the post...
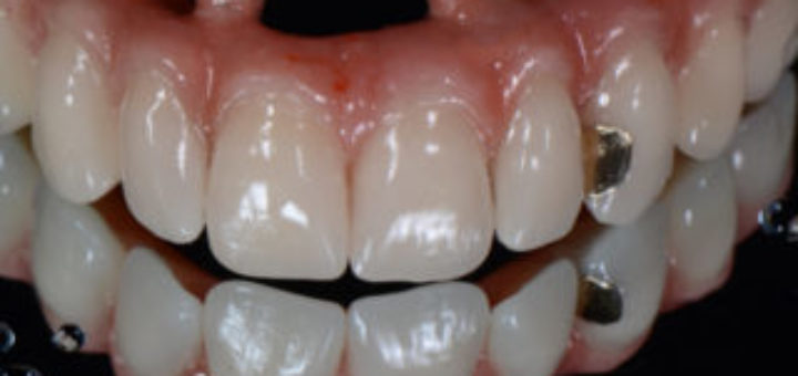
Prosthodontics For the uninitiated Prosthodontics and Orthodontics are two different domains from the dental field. There are many dentists across the globe who perform these two procedures. The procedure helps in enhancing the tooth...
Dental Implant Complications Dental implants are widely regarded as one of the most reliable and advanced methods for replacing missing teeth. They offer durability, natural appearance, and excellent functionality. However, like any surgical treatment,...
Dental Filling Cost Dental fillings are one of the most common and essential treatments for restoring damaged or decayed teeth. When cavities or cracks develop, a filling helps rebuild the tooth structure, prevent further...
Implant Supported Bridge Cost Guide Tooth loss affects both appearance and function, and modern dentistry offers reliable solutions that restore confidence. One of the most effective options is a dental bridge anchored by implants....
Implant Supported Denture Implant Supported Denture is a type of overdenture which supports and attaches to the implants. As far as conventional denture is concerned it rests on gums and has never been supported...
Affordable Dental Cleaning Process Maintaining good oral health begins with consistent care, and one of the most important steps in that routine is scheduling affordable dental cleaning sessions with a trusted professional. In daily...