Porcelain Veneers Thailand: Important things to know
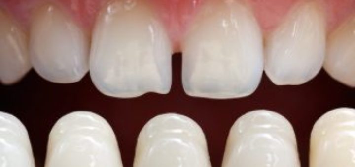
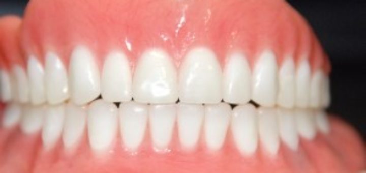
Porcelain Veneers Thailand A porcelain veneer is a shell that is placed on the teeth and is generally made of porcelain. It is used to correct flaws of color and shape. So if you...
A blog that has solution to all your dental issues
Porcelain Veneers Thailand A porcelain veneer is a shell that is placed on the teeth and is generally made of porcelain. It is used to correct flaws of color and shape. So if you...
Dental Veneers Dental Veneers (which are often termed as Porcelain Veneers) are thin laminates which matches the color of your teeth to improve the appearance and give them a natural look. These custom-made shells...
Porcelain Veneers treatment: Get Porcelain teeth without drill The purpose of this article is to introduce and provide a clear understanding of an alternative cosmetic treatment option, the “no-prep” or “prep-less” porcelain veneers, whereby...
Dental Malocclusion Dental malocclusion is a common orthodontic condition that affects both children and adults. It occurs when the upper and lower teeth do not align properly, leading to an improper bite. Although few...
Dental Tips A bright, confident smile is something everyone wishes to have. It not only enhances your appearance but also boosts your self-esteem in social and professional settings. Unfortunately, stained or unhealthy teeth often...
Gum Disease Treatment Gum Disease or Periodontal Disease is an inflammation of the tissues. These tissues support our teeth and help them stay in shape. When a patient suffers from Periodontal Disease the bottom...
Tooth Root Decay Guide Healthy enamel protects the visible part of teeth, but the roots remain vulnerable when exposed. Tooth root decay occurs when bacteria attack the softer surface beneath the gum line. Unlike...
Full Mouth Reconstruction Full Mouth Reconstruction, also termed as Full Mouth Rehabilitation or Full Mouth Restoration, is a procedure of of rebuilding and restoring the teeth in the upper and lower jaws. The procedure...
Dentures cost Dentures are removable aesthetics which is used when a patient loses his/her teeth. These are made out of acrylic or at times they are a combination of acrylic and metal. Dentures also...
Cosmetic Dentistry Do you know that your dentist has the efficiency of performing all sorts of dental procedures? One such procedure is Cosmetic Dentistry. This domain of dental treatment involves the fixing of chipped,...