Why Regular Dental Hygiene Sessions Matter
Why a Dental Hygiene Session Is Essential for a Healthy Smile A professional dental hygiene session is one of the most important steps in maintaining a clean and healthy mouth. While daily brushing and...
A blog that has solution to all your dental issues
Why a Dental Hygiene Session Is Essential for a Healthy Smile A professional dental hygiene session is one of the most important steps in maintaining a clean and healthy mouth. While daily brushing and...
Zoom Teeth Whitening Zoom Teeth Whitening or popularly known as a Zoom Whitening is a teeth whitening process which is performed at the dental clinic. Just like any other dental treatment the result of Zoom...
Pros & Cons to Know About Dental Implant Cost When people experience tooth loss, one of the most reliable and long-lasting solutions is a dental implant. However, before making the decision, it’s important to...
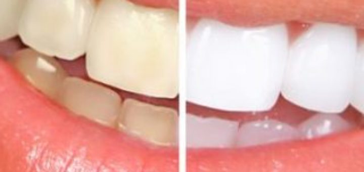
Teeth Whitening Products For years, people have relied on teeth whitening products to brighten their smiles and improve overall confidence. With countless whitening kits, strips, gels, and toothpastes available, many people wonder whether these...
Porcelain Veneers treatment: Get Porcelain teeth without drill The purpose of this article is to introduce and provide a clear understanding of an alternative cosmetic treatment option, the “no-prep” or “prep-less” porcelain veneers, whereby...
Dental Problem If you feel that you have dental problems then you’re not the only one globally who has to deal with it. Dental Problem of any sort is not good for your gums and also...
Mouth is one of the most vulnerable part of our body and Gum Disease is one of the most common disease faced by us and that too at the global level. We are so much ignorant...
Cosmetic Dentistry Thailand Cost Dental tourism has grown tremendously in recent years, and one country that continues to attract global attention is Thailand. The rise in cosmetic dentistry Thailand cost benefits, advanced technologies, and...
Process and Prevention of Dental Caries Today’s blog deals with the Process and Prevention of Dental Caries. But before we get into the details of the process and prevention of dental caries let us first understand what...
Cosmetic Dentistry Thailand The world of healthcare has transformed rapidly over the last decade, especially with the rise of medical tourism. Today, people from across the globe travel abroad to receive advanced dental and...