Tagged: Gingiva

Tartar Control

Tartar – Tips to control this dental condition

Effective Tartar Control Tips A bright, healthy smile is a sign of good oral hygiene, and one of the key aspects of maintaining oral health is tartar control. Tartar, also known as dental calculus,...

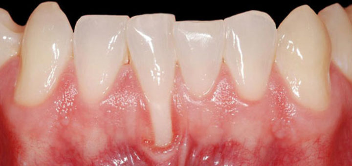
Gum Disease

Gum Disease : Symptoms and Treatments

Mouth is one of the most vulnerable part of our body and Gum Disease is one of the most common disease faced by us and that too at the global level. We are so much ignorant...

Dental Care

Gum Disease Overview for Better Dental Care

Dental Care Gum disease is one of the most widespread oral health issues affecting people around the world. Yet, many individuals do not fully understand what it is, how it develops, or how to...

Relation between your mouth and heart

Relation between your mouth and heart

Relation between your mouth and heart Take care of your gums and your heart will be healthy. Does it make any sense to you? Well even if it doesn’t then I must tell you...

Pyorrhea Causes and Cure

Pyorrhea Causes and Cure

Pyorrhea Causes and Cure Pyorrhea which is also known popularly known as Periodontitis is one of the most common dental problems faced by us. The condition occurs when the tissues i.e periodontium, surrounding and supporting the...

Turner Hypoplasia

Abnormal Teeth condition: Turner Hypoplasia

Abnormal Teeth condition: Turner Hypoplasia This is an abnormality of our teeth and it isn’t that very common. A patient suffering from Turner Hypoplasia will notice abnormalities such as missing or reduced enamel on...

Some seriously funny facts about our teeth

Some seriously funny facts about our teeth

Some seriously funny facts about our teeth We have often discussed about how important it is for us to maintain the oral hygiene; how important it is for us to keep our mouth clean...