-
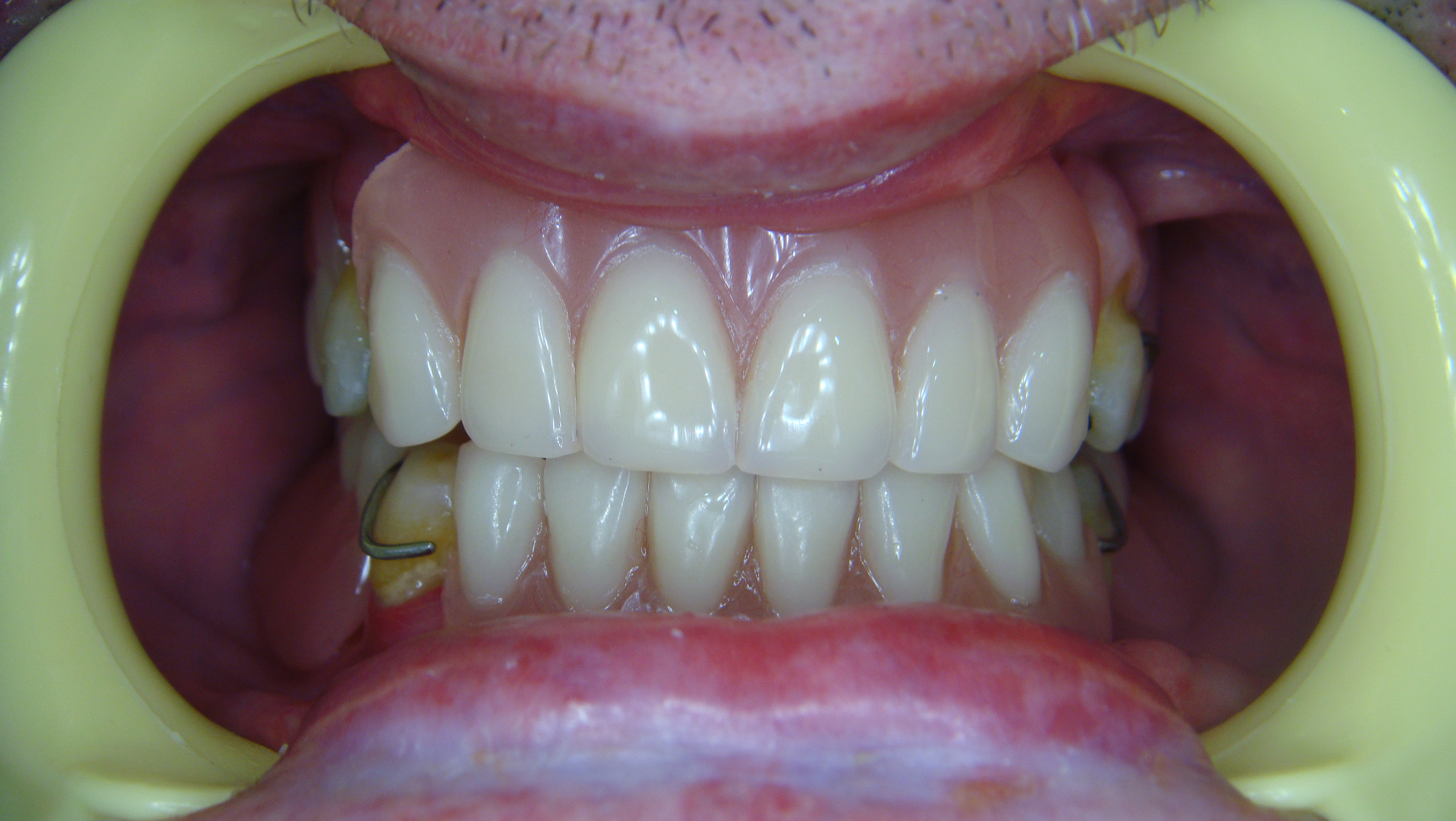
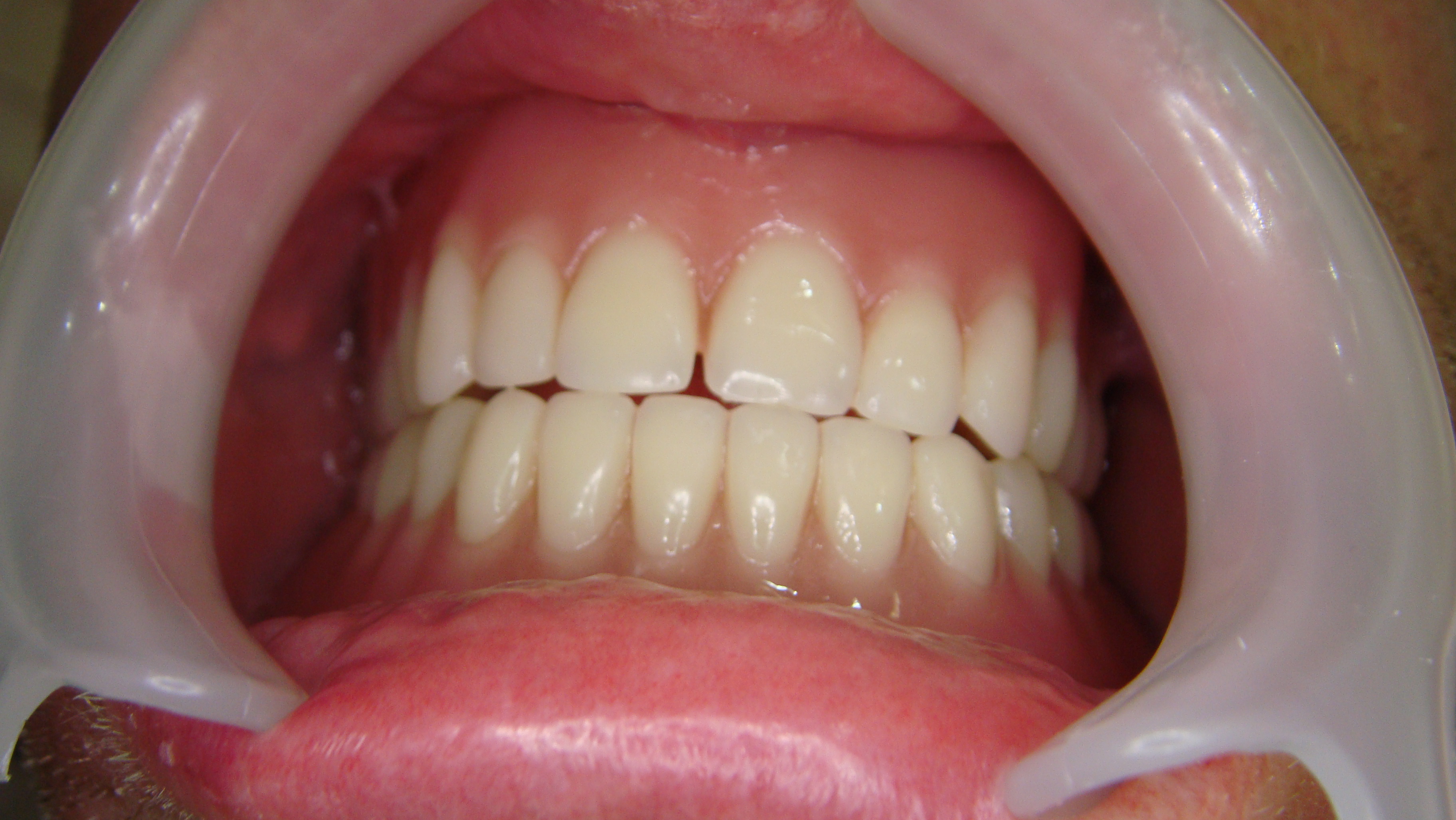
ID Number : 2017-429
Country : Newzealand
Treatment : Denture + 8 Crowns
-
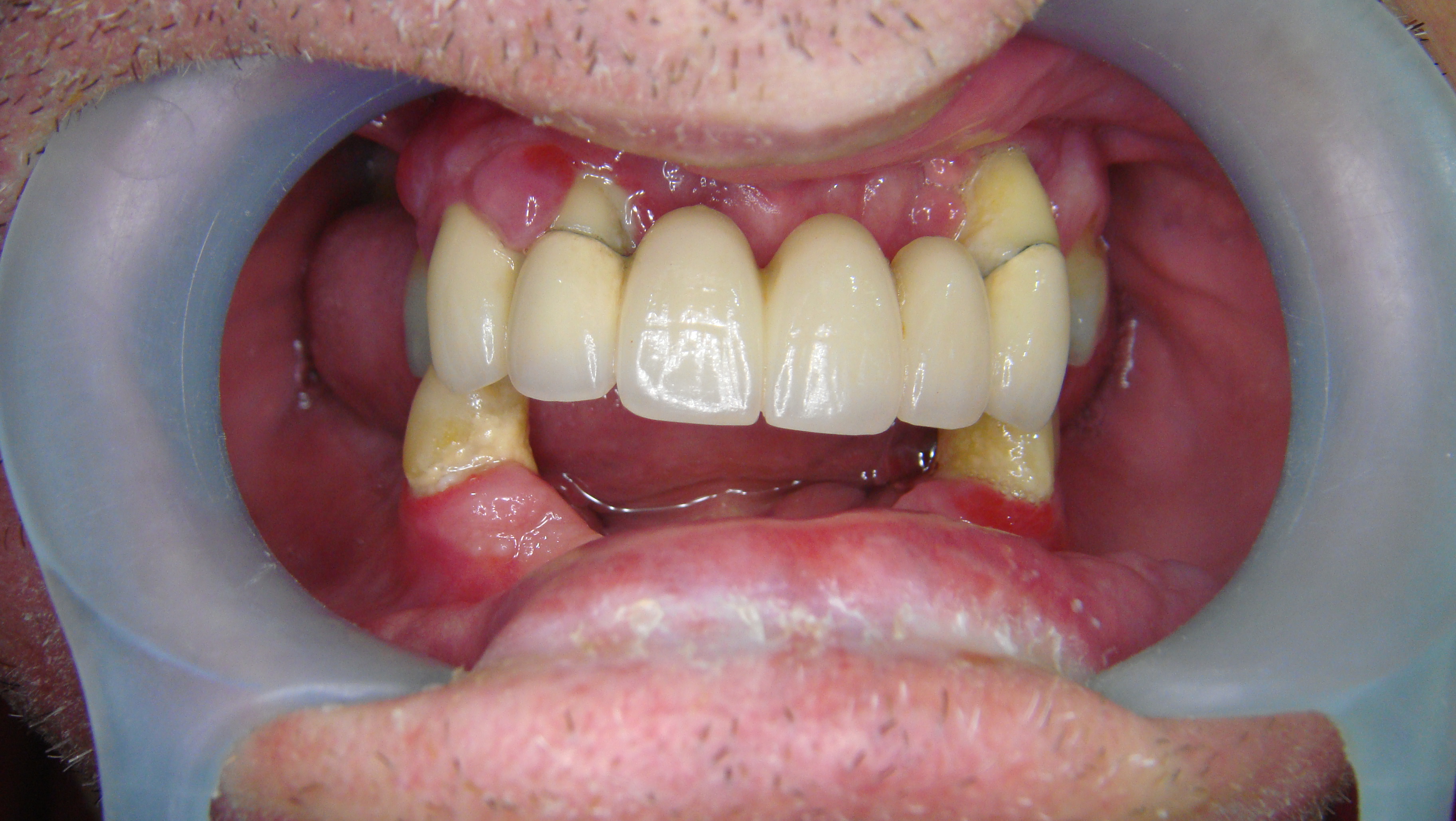
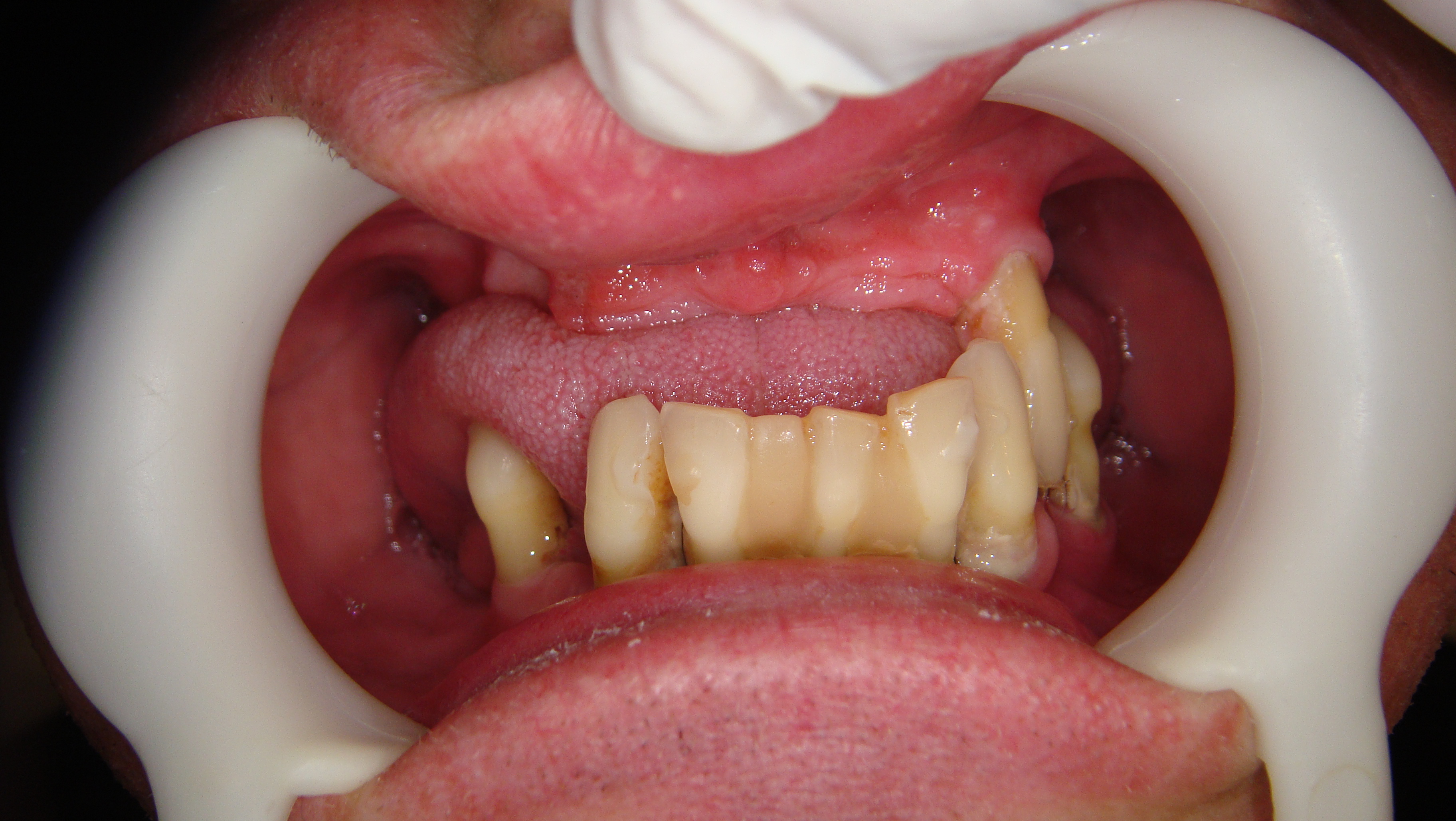
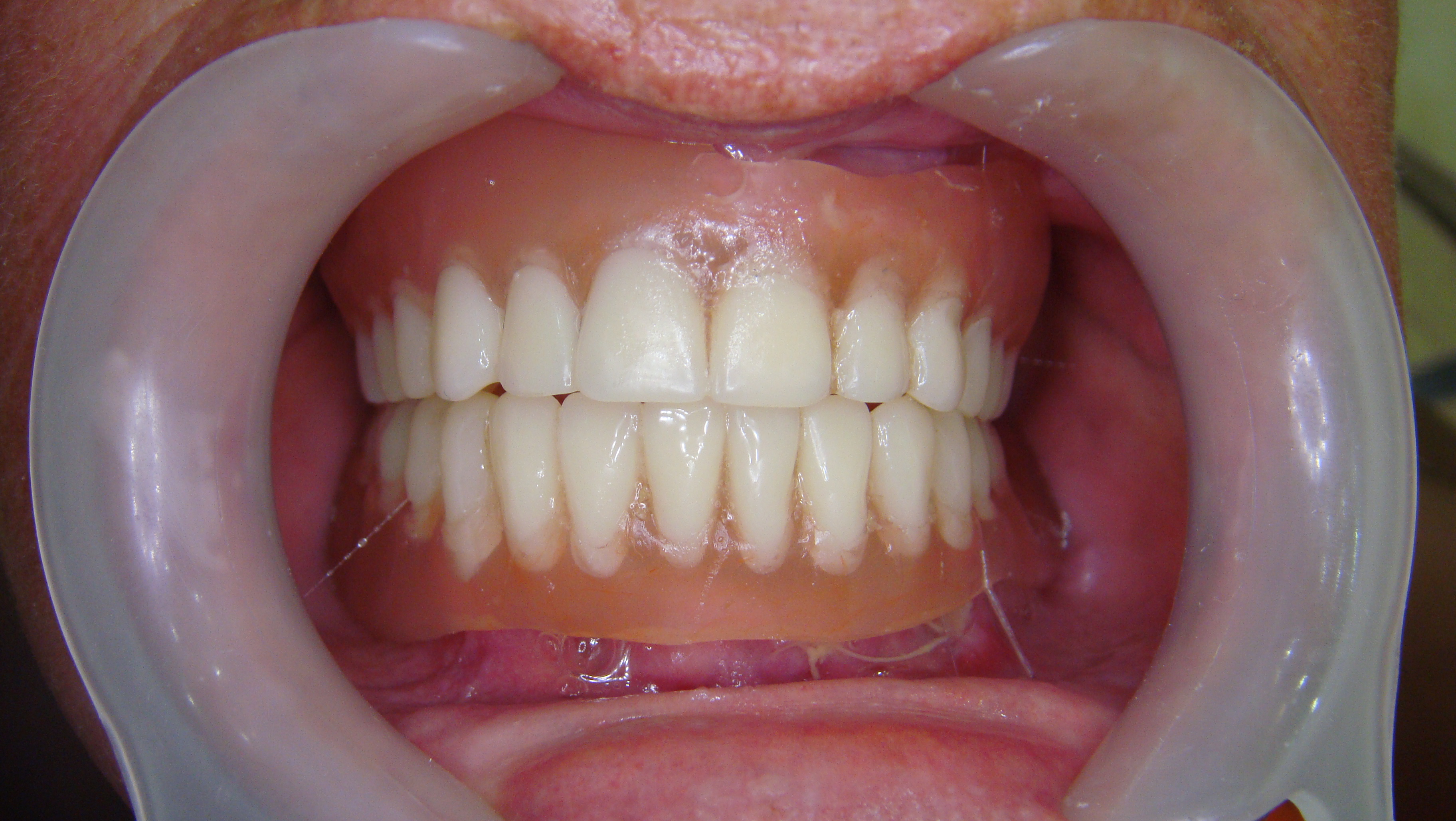
ID Number : 2016-1127
Country : Australia
Treatment : Denture
-
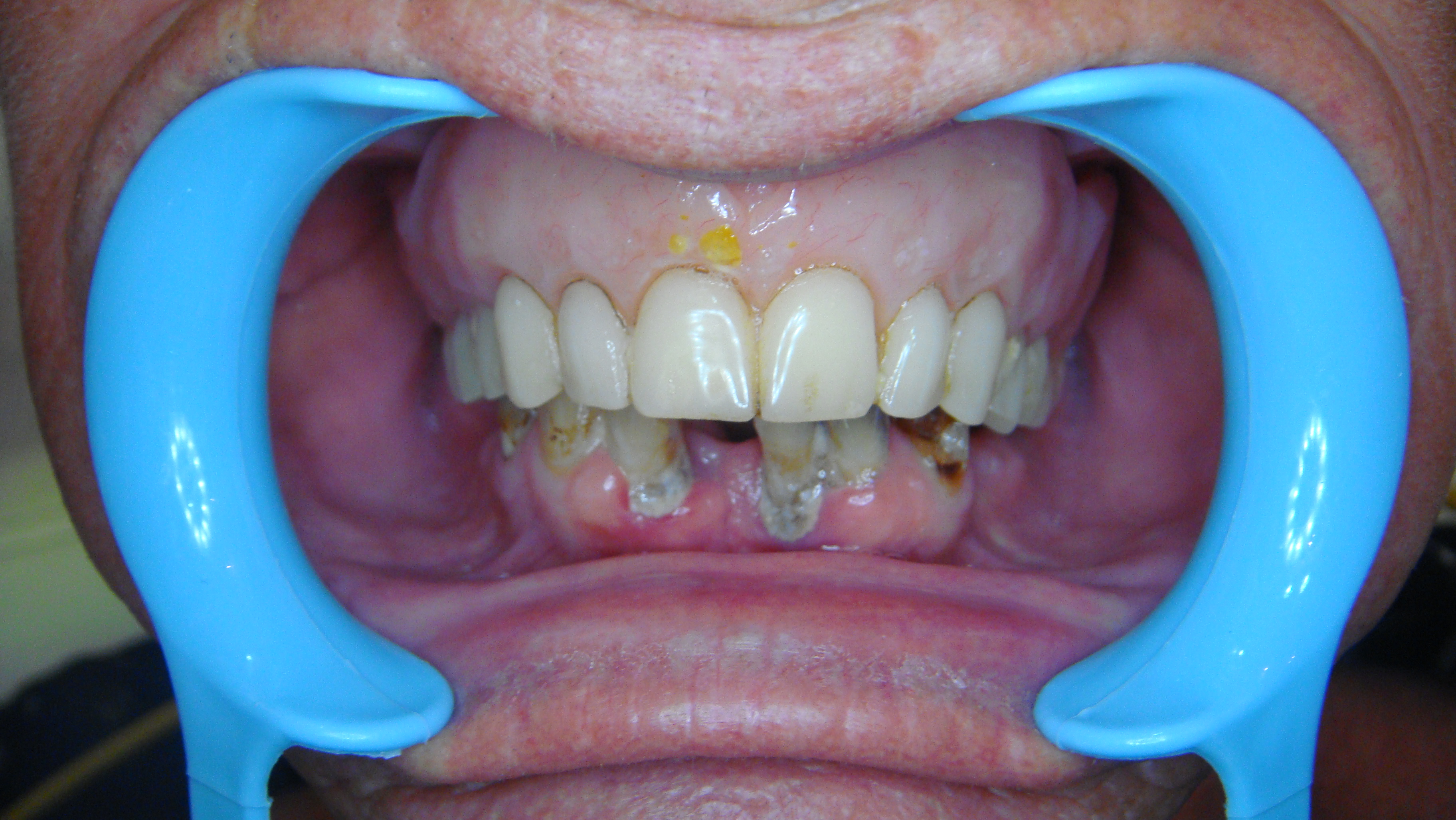
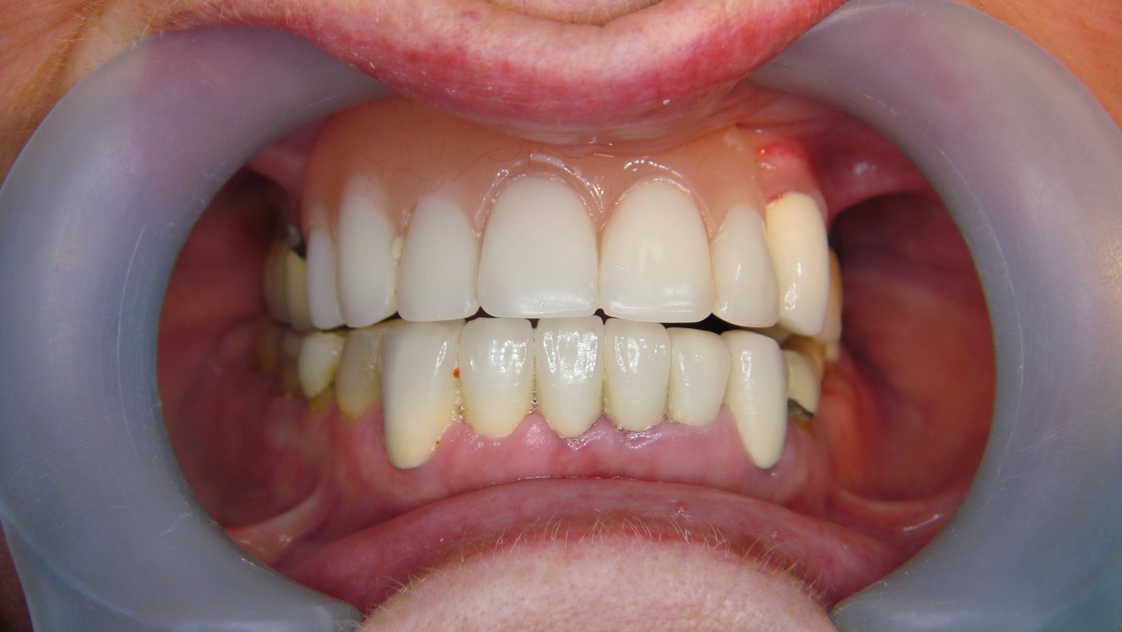
ID Number : 2017-366
Country : Australia
Treatment : 6 Extraction + Denture
-
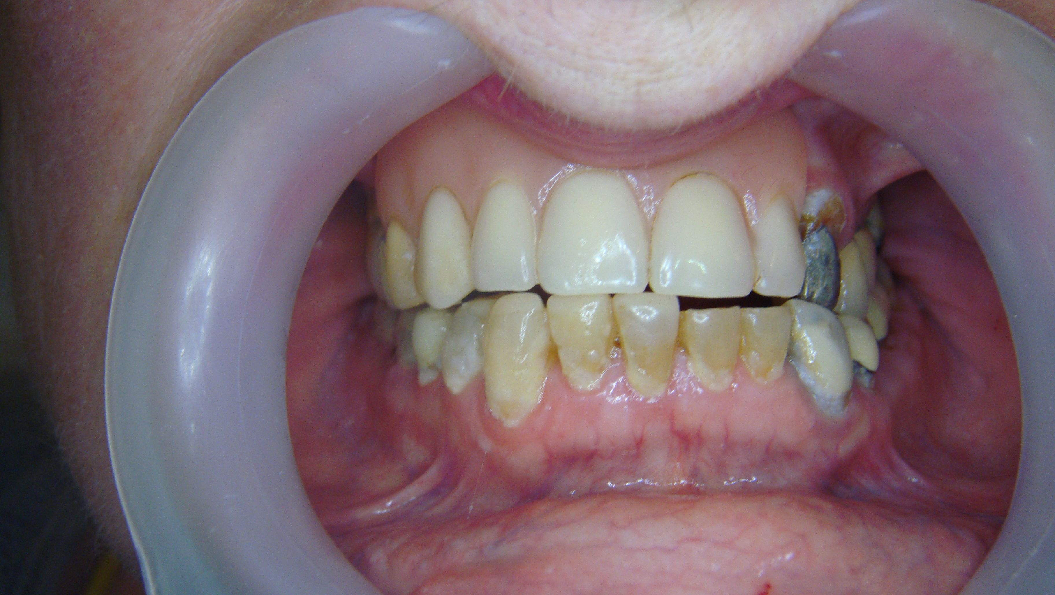
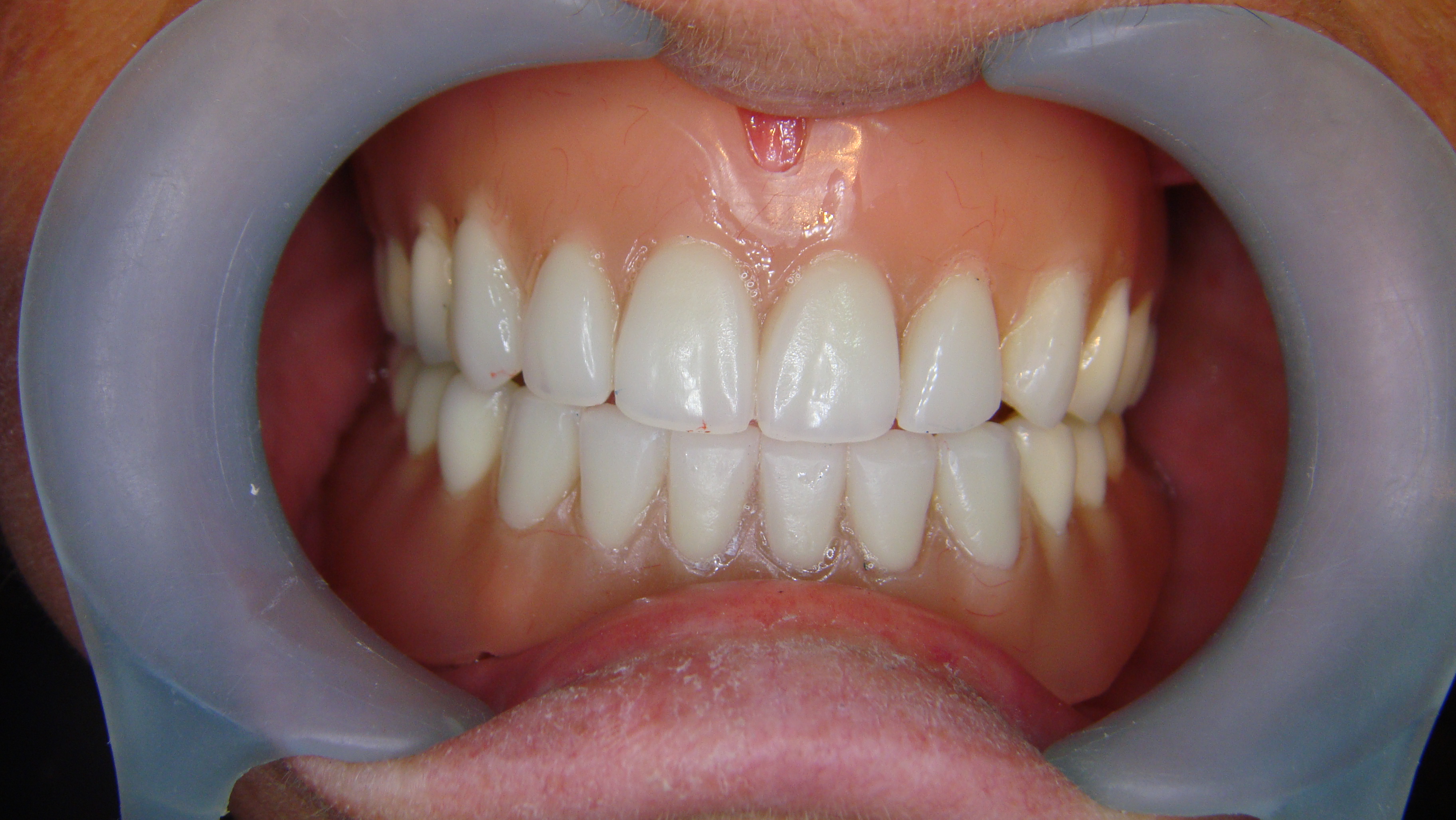
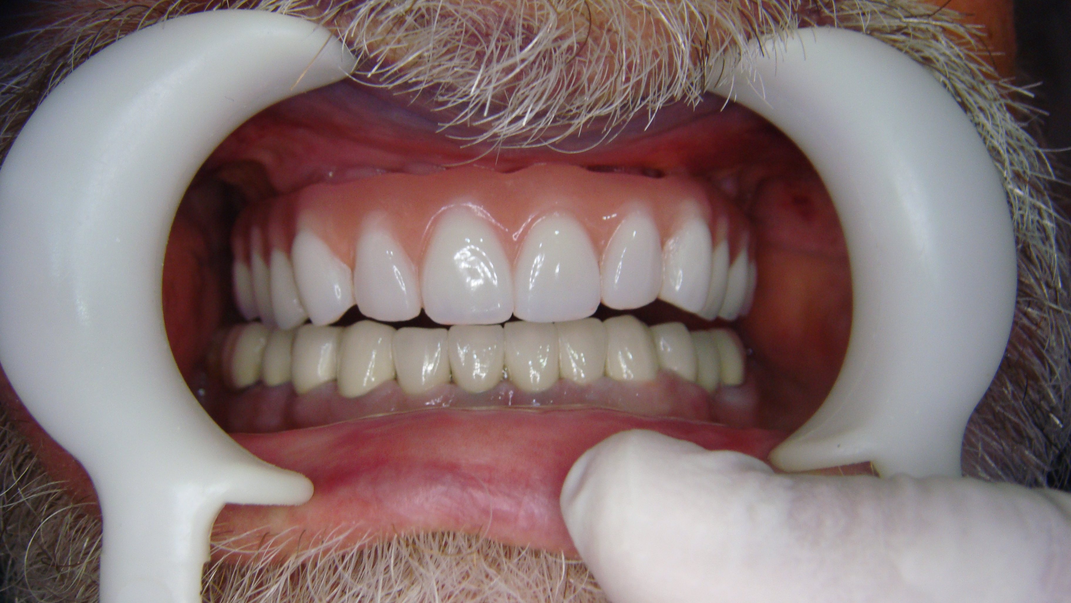
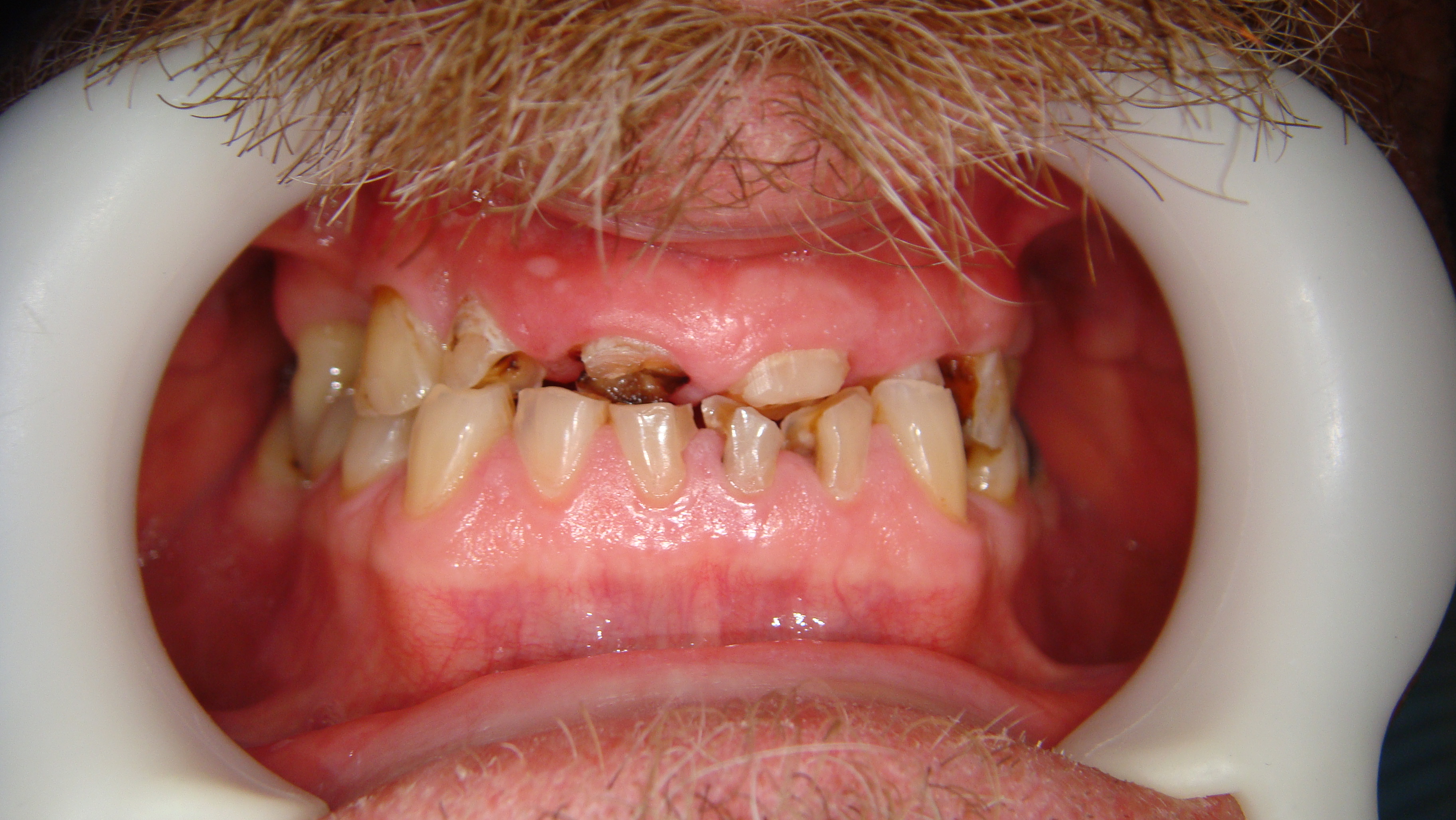
ID Number : 2016-1475
Country : Australia
Treatment : 12 Crowns +10 Extraction + Denture
-
ID Number : 2016-1485
Country : Australia
Treatment : 4 Extraction + Denture
-
ID Number : 2016-1122
Country : Australia
Treatment : Top&Bottom Denture







