-
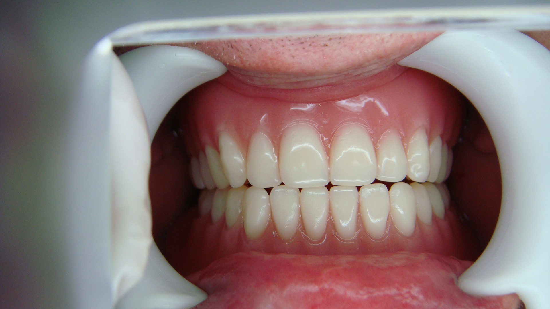
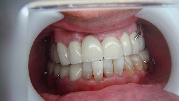
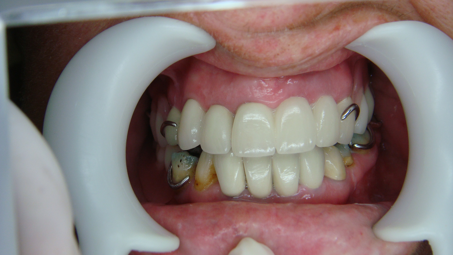
ID Number : 2014-672
Country : New Zealand
Treatment : Top Teeth 10 Crowns & 3 unit Bridge Denture
-
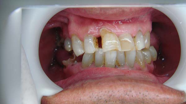
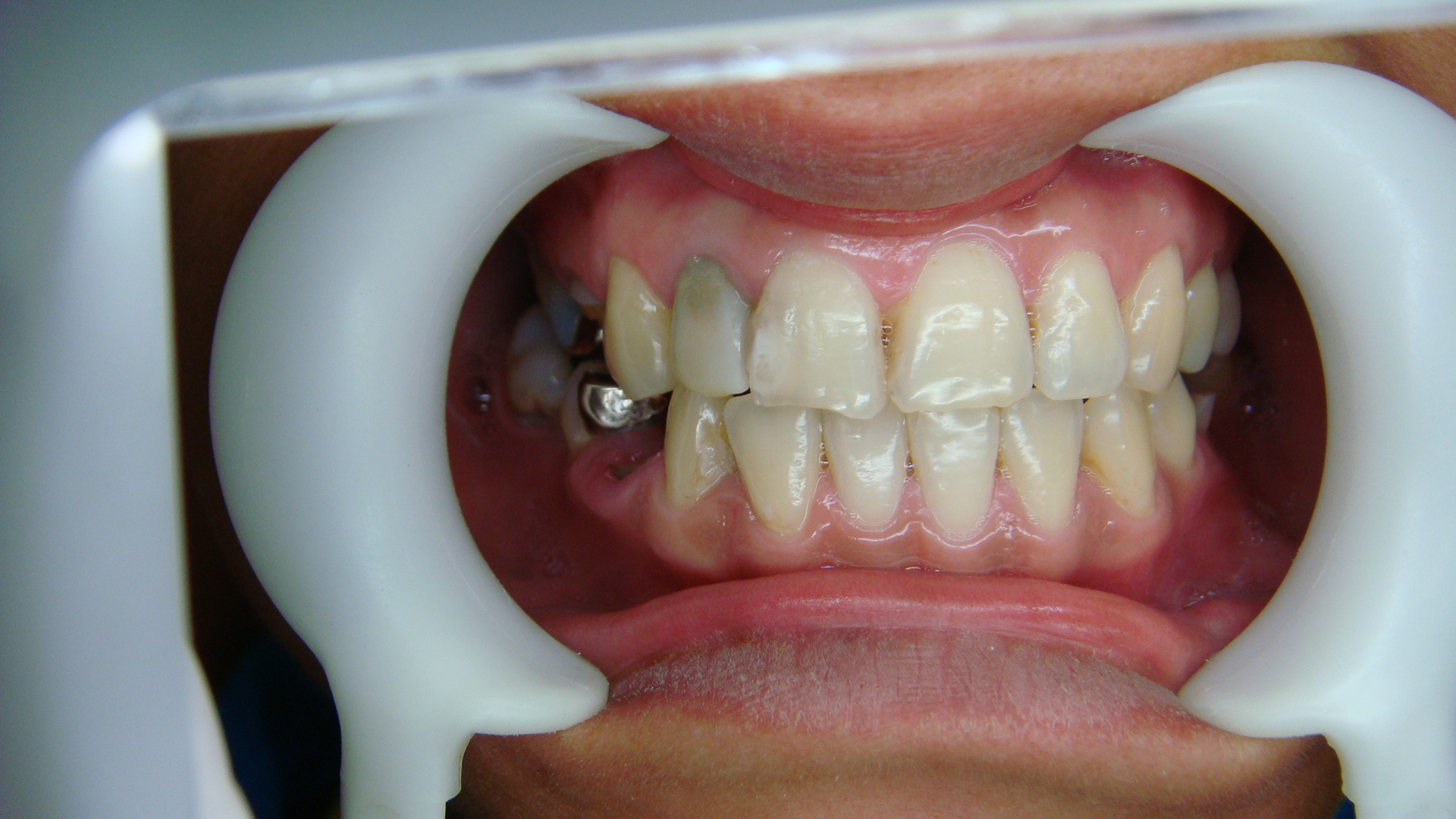
ID Number : 2014-436
Country : Brazil
Treatment : To-p Teeth : 2 Crowns
-
ID Number : 2014-378
Country : New Zealand
Treatment : Cleaning & Polishing
-
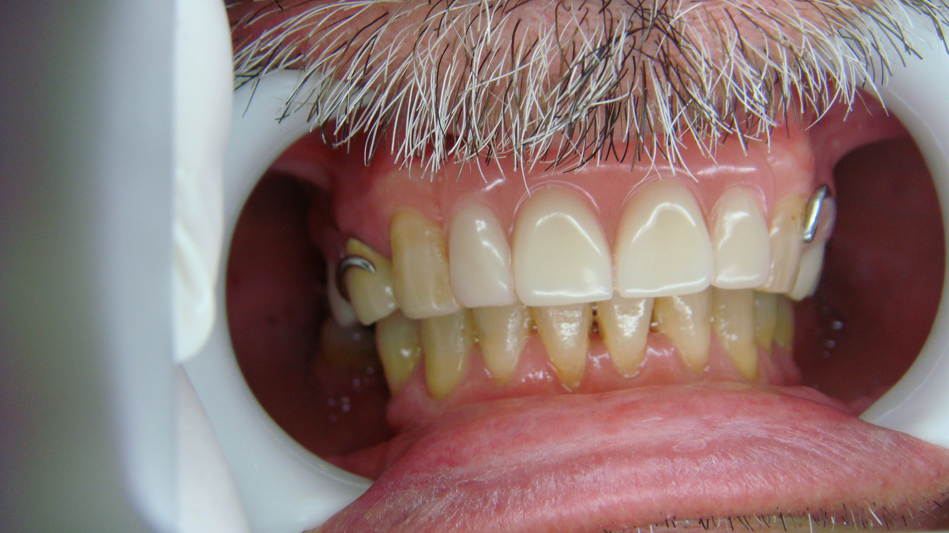
ID Number : 2014-354
Country : Australia
Treatment : Denture
-
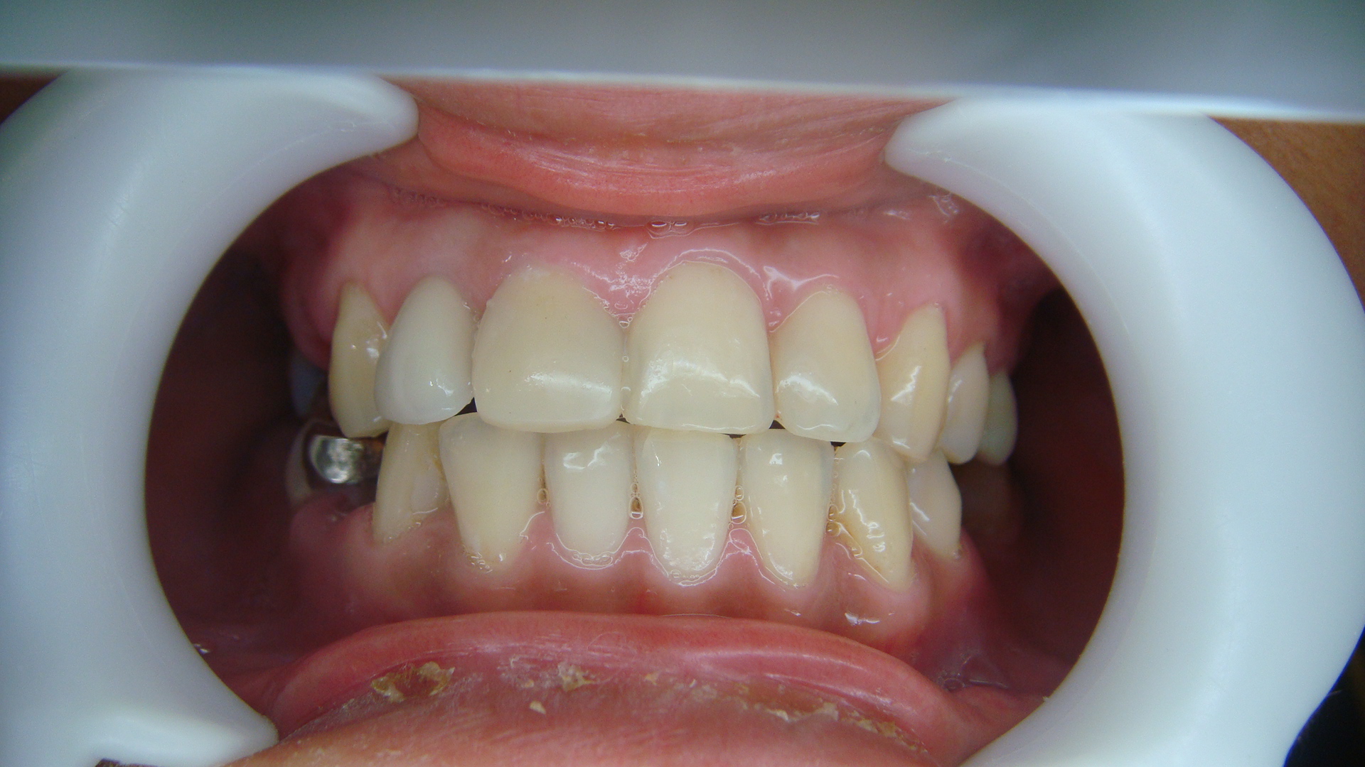
ID Number : 2014-329
Country : USA
Treatment : Crown on Implant
-
ID Number : 2014-343
Country : Australia
Treatment : Cleaning & Polishing







