-
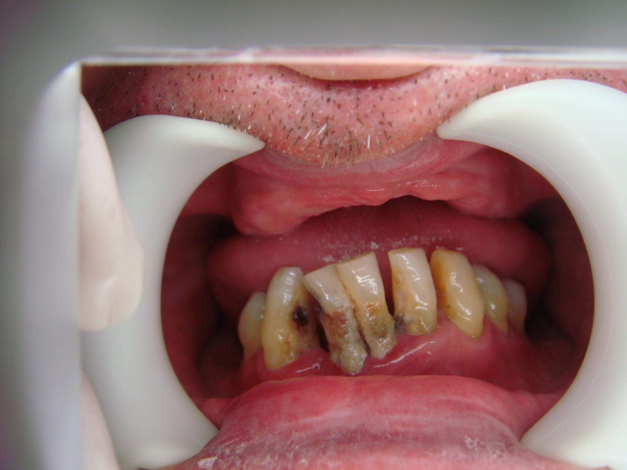
ID Number : 2015-791
Country : Dubai
Treatment : Full Denture
-
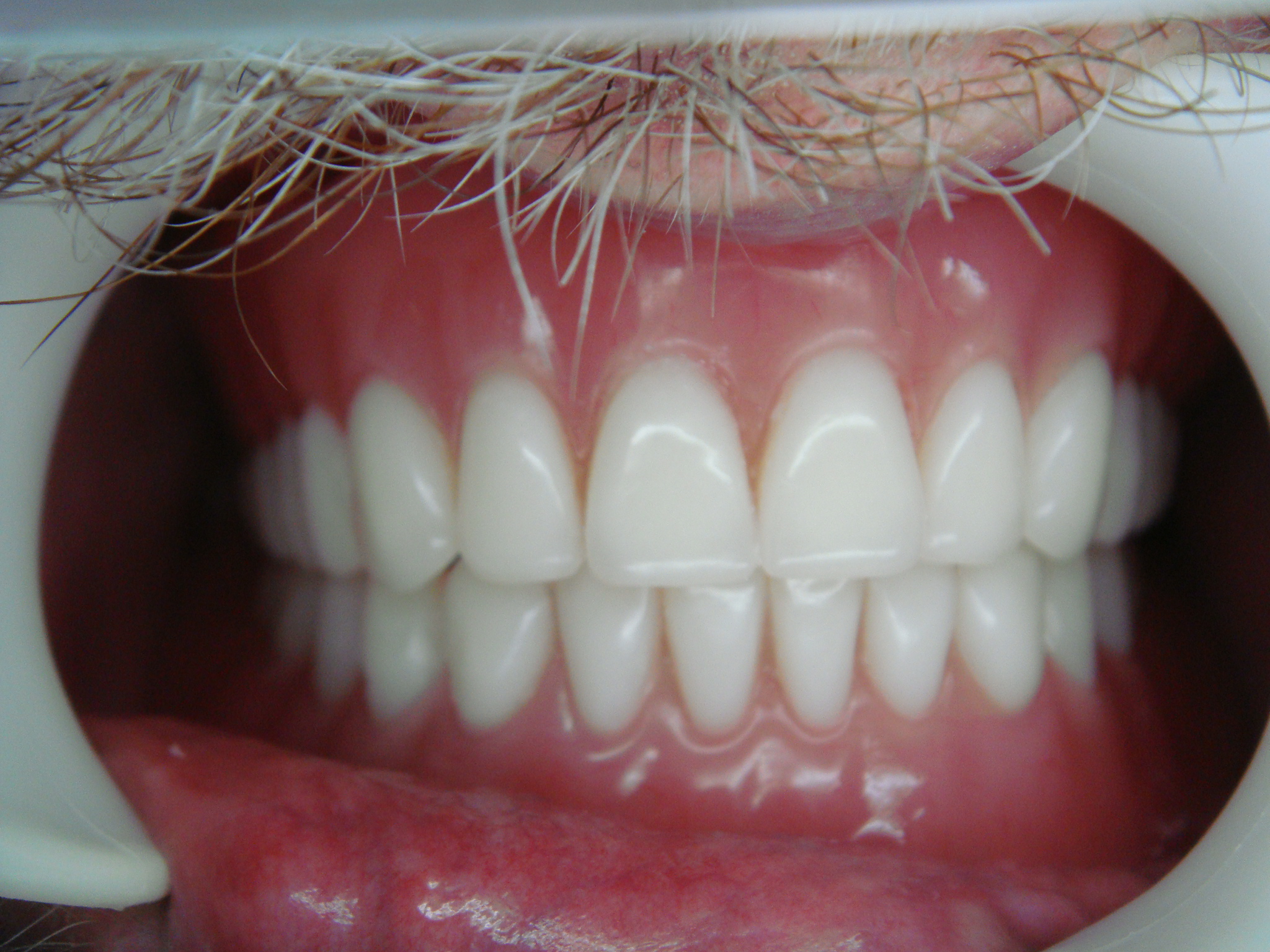
ID Number : 2009-8553
Country : Australia
Treatment : Full Denture
-
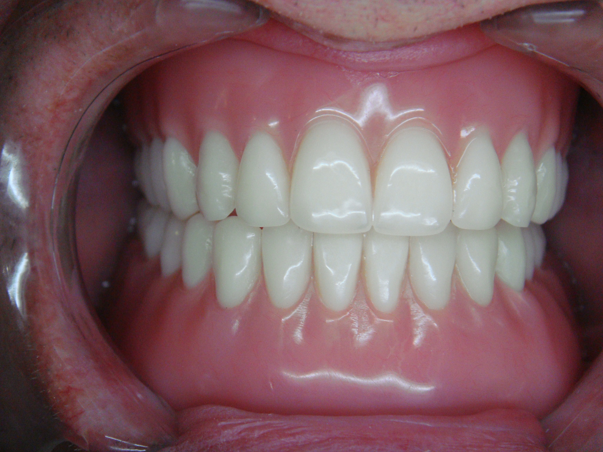
ID Number : 2014-989
Country : Australia
Treatment : Full Denture + Extraction
-
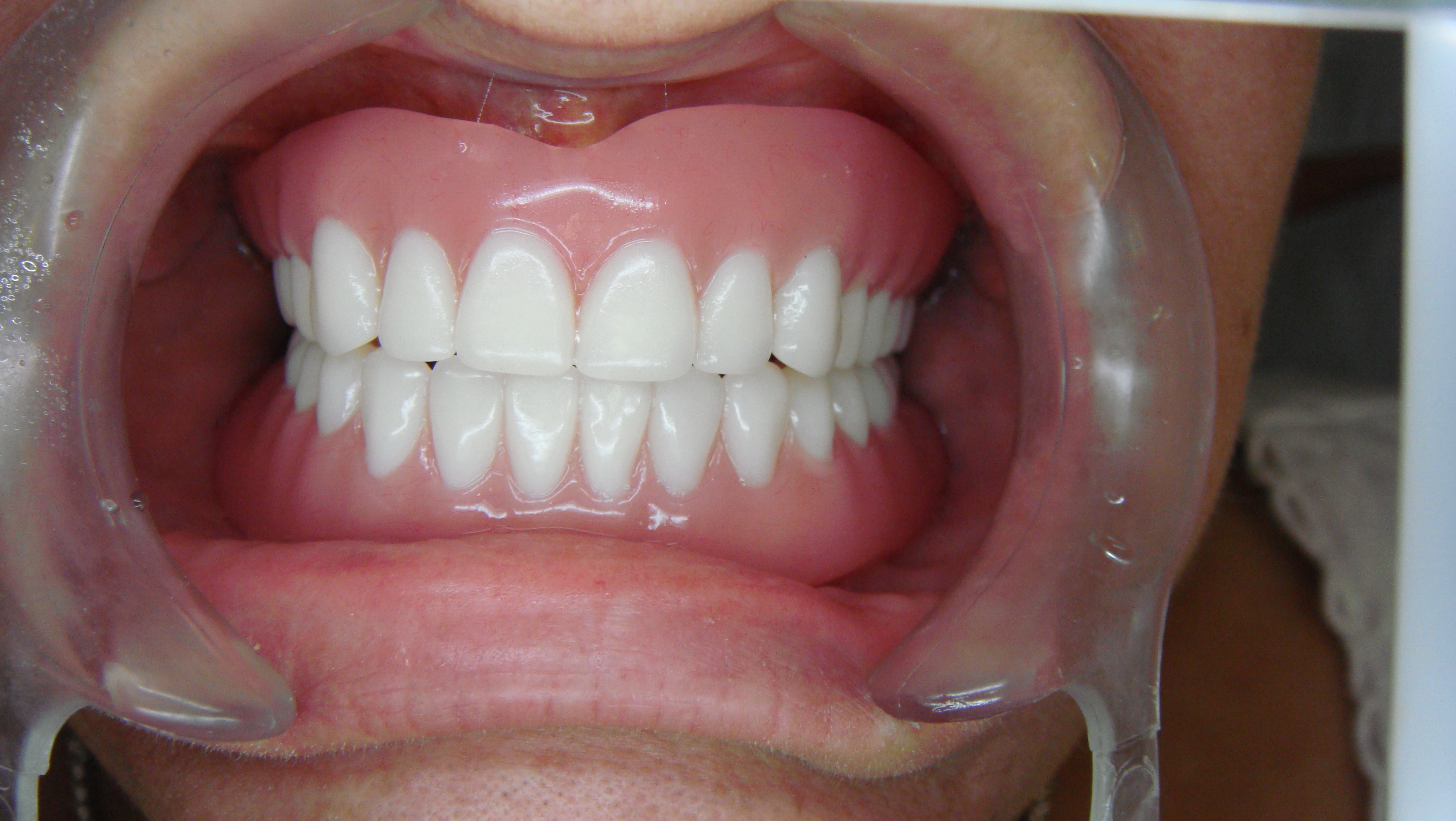
ID Number : 2015-171
Country : Australia
Treatment : Full Denture
-
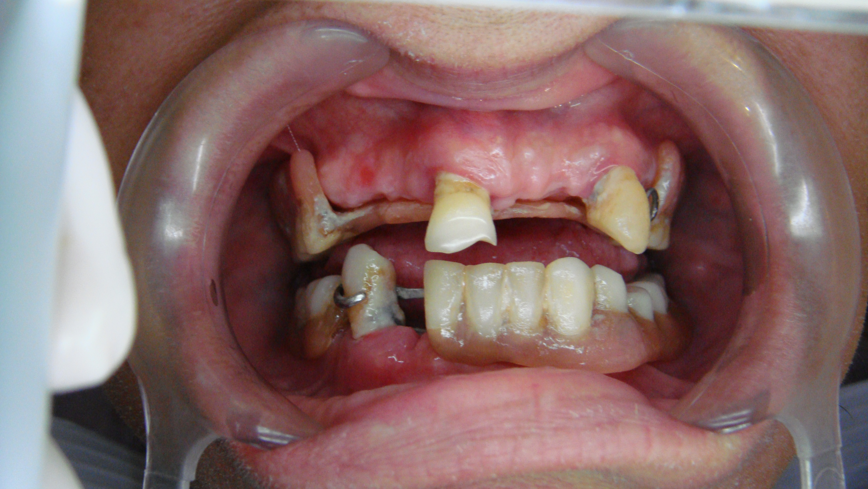
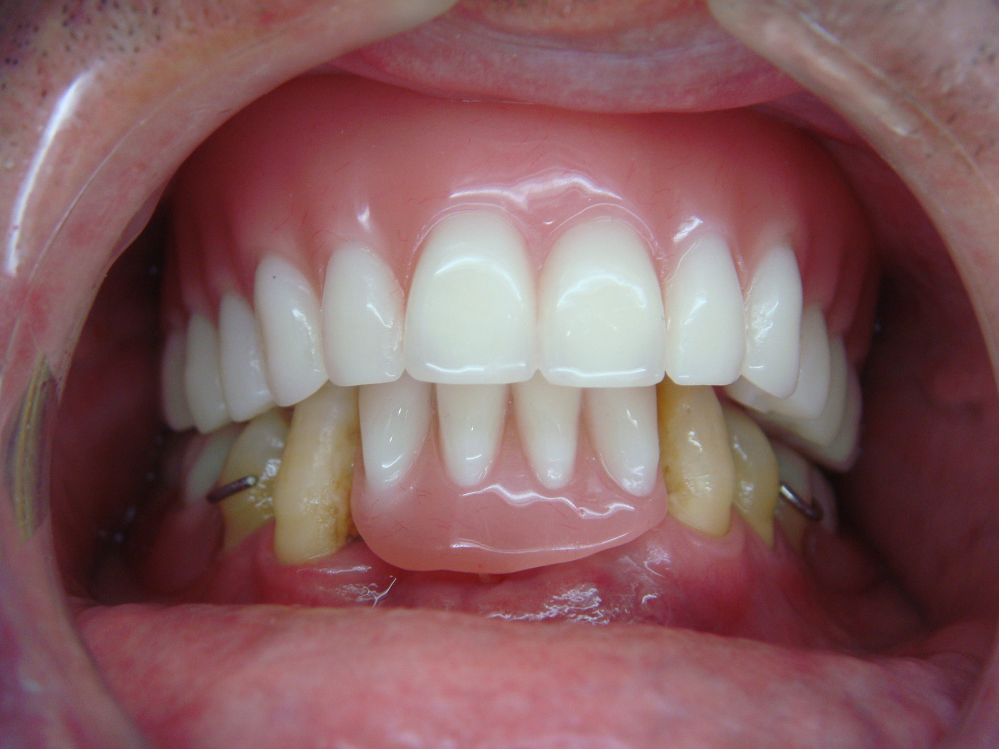
ID Number : 2015-373
Country : Australia
Treatment : Top Teeth: Denture
-
ID Number : 2015-460
Country : Australia
Treatment : Top Teeth: 7 Extraction + Denture







