-
ID Number : 2014-337
Country : Australia
Treatment : Cleaning & Polishing
-
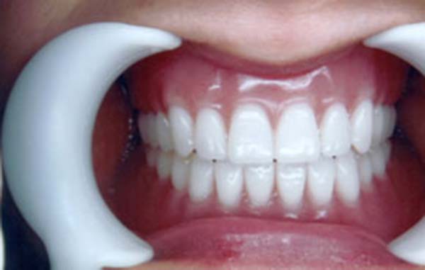
ID Number : 2014-342
Country : Australia
Treatment : Cleaning & Polishing
-
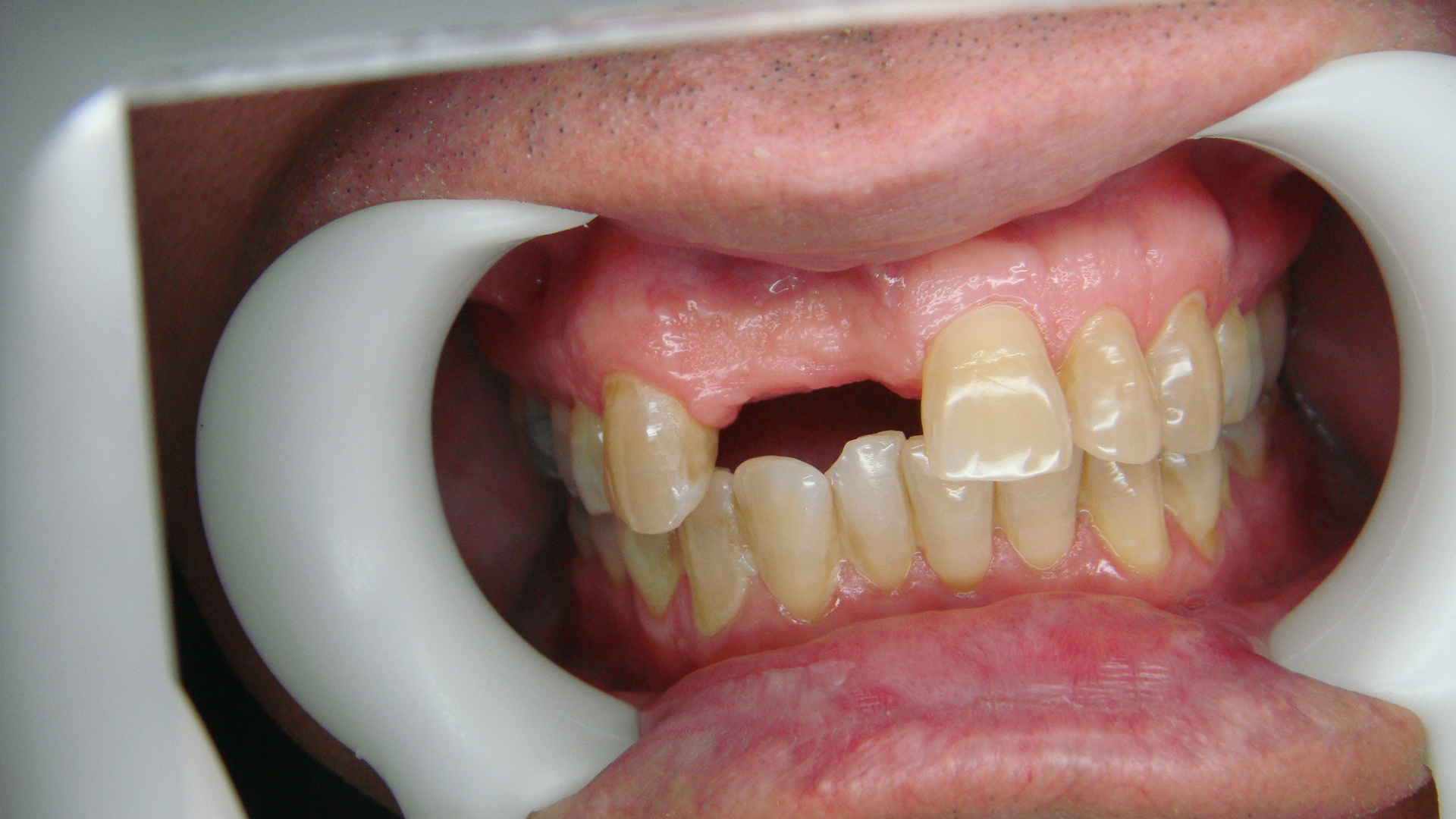
ID Number : 2014-326
Country : Australia
Treatment : Cleaning & Polishing
-
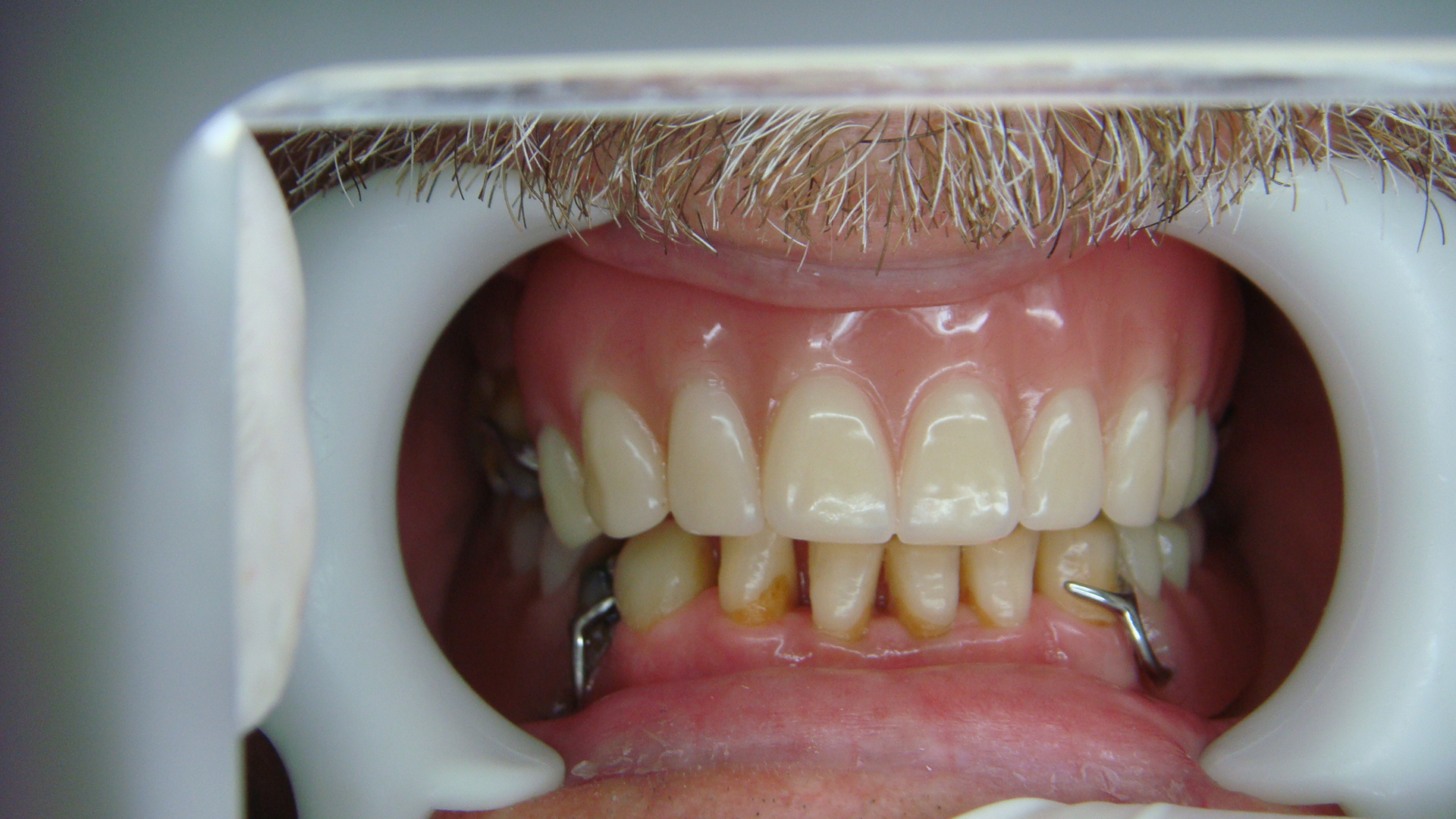
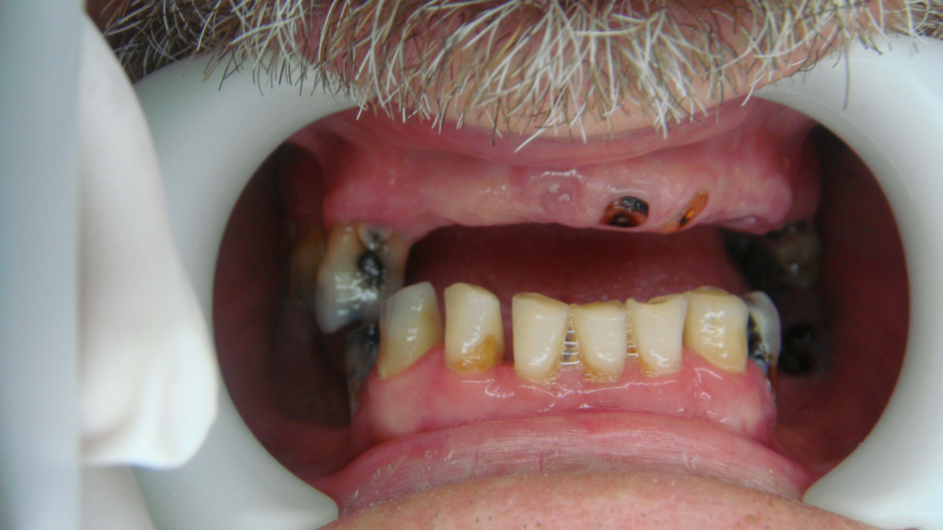
ID Number : 2014-130
Country : USA
Treatment : Extraction Top Teeth : Denture Bottom Teeth : Denture







