-
ID Number : 2018-828
Country : Australia
Treatment : Bridge : 11 Unit + Crowns : 7
-
ID Number : 2018-140
Country : Australia
Treatment : Upper Jaw : 9 Crowns on Implant + Bridge
-
ID Number : 2018-717
Country : Cambodia
Treatment : Upper Jaw : 3 Unit Bridge
-
ID Number : 2018-748
Country : Australia
Treatment : Upper Jaw : 3 Unit Bridge + Root Canal
-
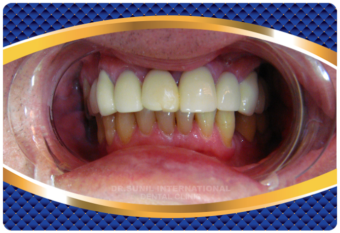
ID Number : 2018-778
Country : Australia
Treatment : Upper Jaw : 8 Crowns + Laser Whitening
-
ID Number : 2018-797
Country : Chad
Treatment : Upper Jaw : 8 Unit Bridge







