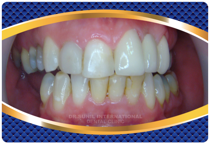
-
ID Number : 2017-448
Country : Jordan
Treatment : 7 Crowns + 3 Bridges
-
ID Number : 2017-440
Country : Australia
Treatment : 3 Bridges
-
ID Number : 2017-437
Country : Australia
Treatment : 24 Crowns
-
ID Number : 2017-433
Country : Australia
Treatment : 8 Crowns
-
ID Number : 2017-430
Country : Australia
Treatment : 7 Crowns
-
ID Number : 2017-429
Country : New Zealand
Treatment : 13 Crowns







