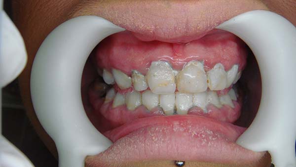
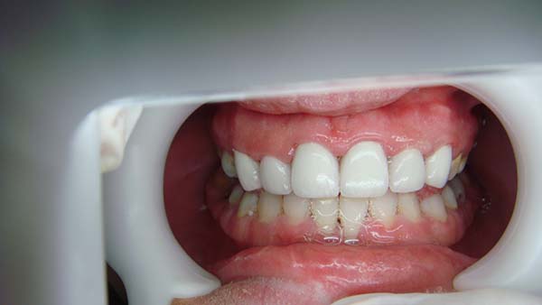
-
ID Number : 2014-897
Country : USA
Treatment : Top Teeth : 4 Crowns
-
ID Number : 2014-881
Country : Australia
Treatment : Top Teeth : 2 Crowns #6-Unit Bridge
-
ID Number : 2014-875
Country : Australia
Treatment : Top Teeth : 3 Crowns #3-Unit Bridge
-
ID Number : 2014-874
Country : Australia
Treatment : Top Teeth : 2 Crowns #Whitening
-
ID Number : 2014-1039
Country : Australia
Treatment : Top Teeth : 6 Crowns
-
ID Number : 2014-1000
Country : Ireland
Treatment : Top Teeth : 6 Crowns







