-
ID Number : 2013-746
Country : Australia
Treatment : Top Teeth : 10 Crowns Bottom Teeth : Whitening
-
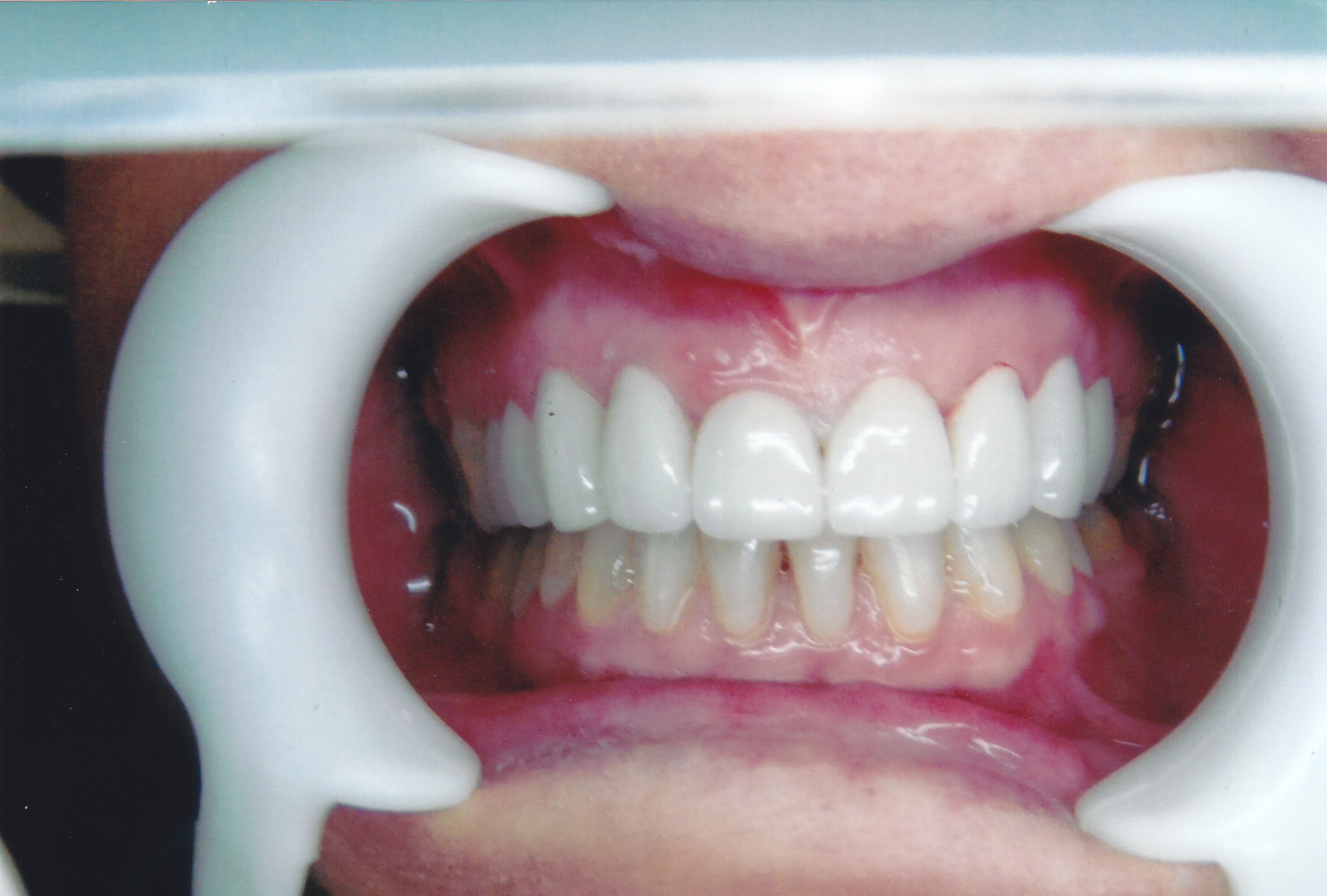
ID Number : 2013-741
Country : Australia
Treatment : Top Teeth : 2 Crowns #2 Bridges Bottom Teeth : Whitening
-
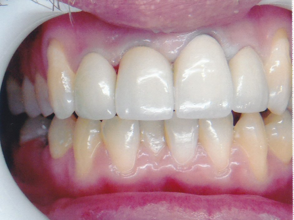
ID Number : 2013-760
Country : New Zealand
Treatment : Top Teeth : 8 Crowns Bottom Teeth : Whitening
-
ID Number : 2013-738
Country : Australia
Treatment : Top Teeth : 5 Crowns
-
ID Number : 2013-768
Country : Australia
Treatment : Top Teeth : 7 Crowns
-
ID Number : 2013-801
Country : Australia
Treatment : Top Teeth : 8 Crowns #3-Unit Bridge







