-
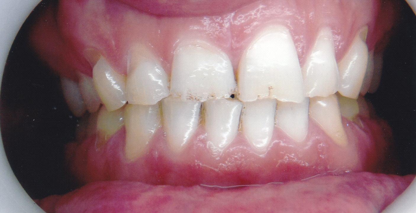
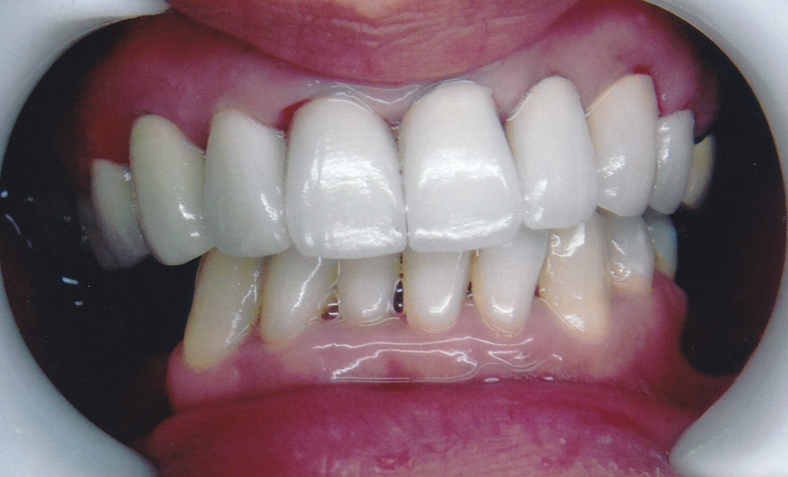
ID Number : 2013-852
Country : Australia
Treatment : Top Teeth : 4 Crowns Bottom Teeth : Whitening
-
ID Number : 2013-995
Country : Australia
Treatment : Top Teeth : 8 Crowns Bottom Teeth : Whitening
-
ID Number : 2013-972
Country : Australia
Treatment : Top Teeth : 4 Crowns #3-Unit Bridge Bottom Teeth : Whitening
-
ID Number : 2013-944
Country : New Zealand
Treatment : Top Teeth : 8 Crowns
-
ID Number : 2013-993
Country : Australia
Treatment : Top Teeth : 5 Crowns #3-Unit Bridge Bottom Teeth : Whitening
-
ID Number : 2013-981
Country : Australia
Treatment : Top Teeth : 8 Crowns Bottom Teeth : Whitening







