-
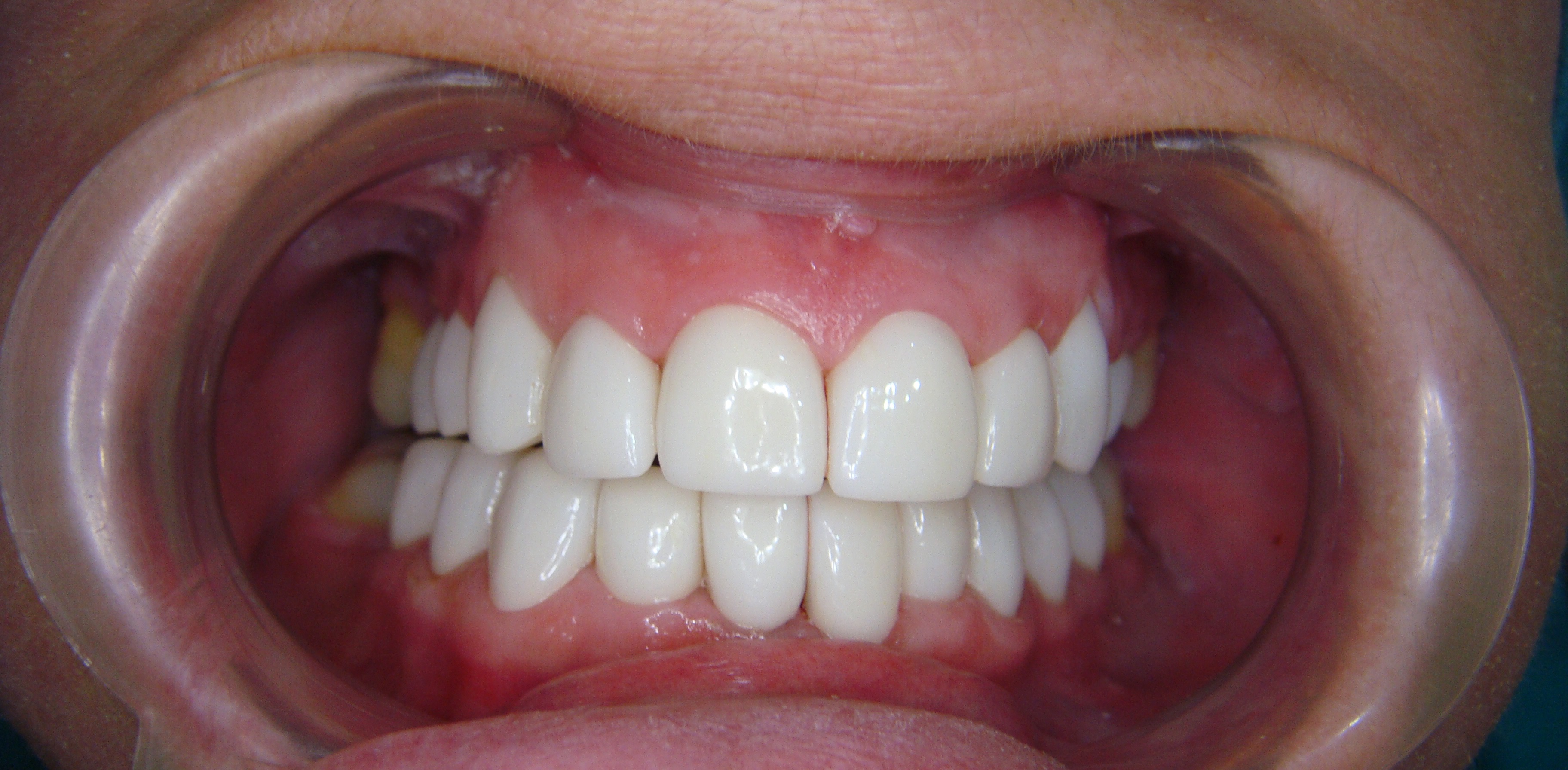
ID Number : 2019-1319
Country : Australia
Treatment : Upper Jaw-10 Crowns Lower Jaw-10 Crowns
-
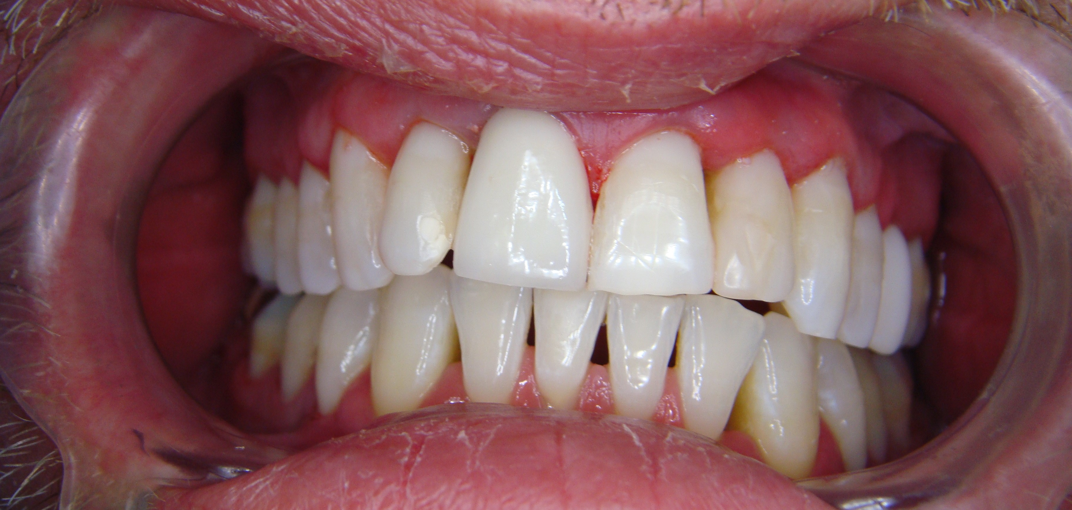
ID Number : 2016-623
Country : Australia
Treatment : Upper Jaw-2 Crowns and Whitening
-
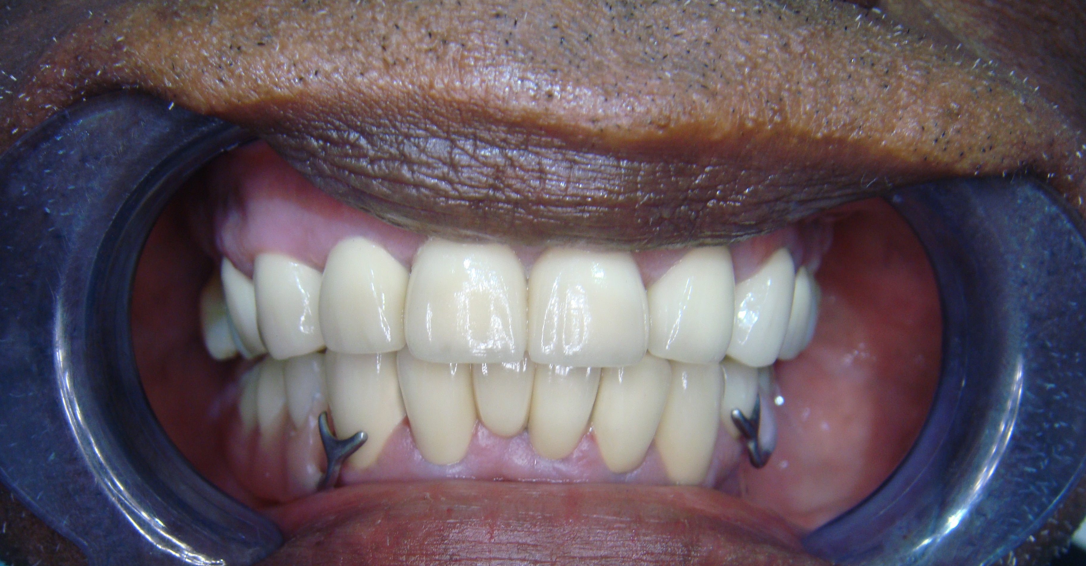
ID Number : 2019-1338
Country : New Zealand
Treatment : Upper Jaw-8 Crowns & Bridges
-
ID Number : 2020-77
Country : UK
Treatment : Upper Jaw-1 Crowns
-
ID Number : 2017-136
Country : USA
Treatment : Upper Jaw-4 Crowns
-
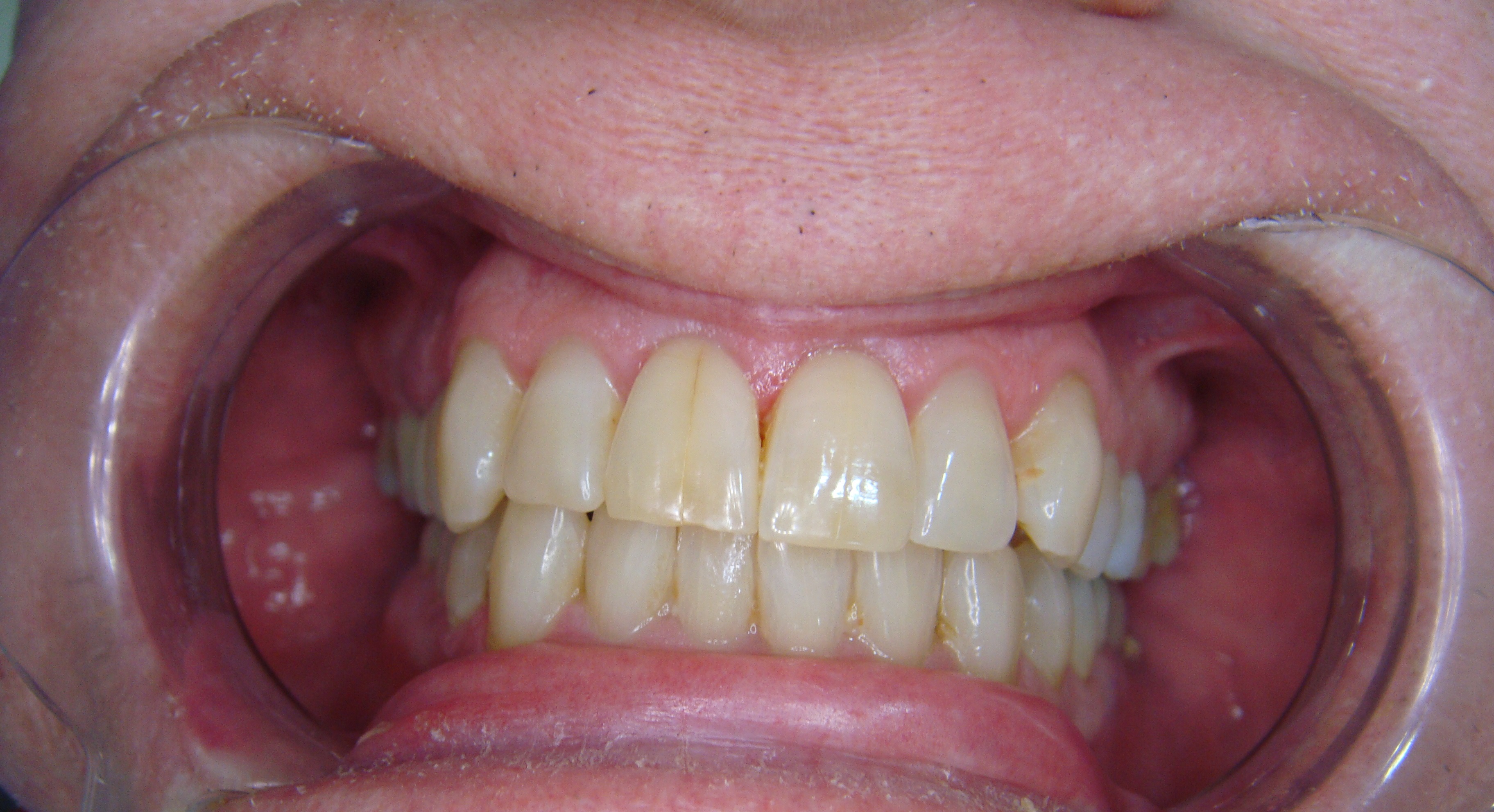
ID Number : 2020-17
Country : Netherlands
Treatment : Upper Jaw-8 Crowns Lower Jaw- 7 Crowns+ Denture







