-
ID Number : 2017-1143
Country : Australia
Treatment : 7 Crowns + 9 Bridges
-
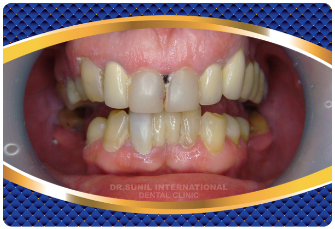
ID Number : 2017-1120
Country : Australia
Treatment : 8 Crowns + 2 Bridges]
-
ID Number : 2017-1090
Country : U.S.A.
Treatment : 7 Bridges
-
ID Number : 2017-1086
Country : Australia
Treatment : 6 Bridges
-
ID Number : 2017-1070
Country : Australia
Treatment : 3 Crowns
-
ID Number : 2014-657
Country : Australia
Treatment : 8 Crowns







