Dr. Sunil International
Dental Center
ขอคำปรึกษาออนไลน์
โทร.
+66 086-426-9878
Line
@drsunildental
หน้าหลัก
บริการของเรา
การฟอกสีฟันในกรุงเทพมหานคร, ประเทศไทย
การรักษารากฟันแบบไม่เจ็บปวด
การครอบฟัน/การทำสะพานฟันในกรุงเทพ,ประเทศไทย
การถอนฟัน /การศัลยกรรมในช่องปาก ในกรุงเทพมหานคร
บริการเคลือบฟัน
ชุดฟันปลอม
การท่องเที่ยวเชิงทันตกรรมในกรุงเทพ, ประเทศไทย
ทันตกรรมรากฟันเทียมในประเทศไทย / ทันตกรรมรากฟันเทียมในกรุงเทพมหานคร
การผ่าตัดยกเหงือกในกรุงเทพ,ประเทศไทย
การปลูกถ่ายกระดูกฟันในกรุงเทพ,ประเทศไทย
การรักษาเหงือกในกรุงเทพมหานคร, ประเทศไทย
การให้คำปรึกษาและบริการรับ-ส่ง ฟรี
คอมโพสิตบอนดิ้ง/การปิดช่องว่างระหว่างฟัน
การผ่าตัดยกไซนัส ในกรุงเทพมหานคร
ประสบการณ์ของผู้ป่วย (รูปก่อนและหลัง)
การบริการบูรณะฟันทั้งปากในกรุงเทพมหานคร
การบูรณะฟันแบบอินเลย์ และ ออนเลย์
การอุดฟันด้วยวัสดุสีเหมือนฟัน ในกรุงเทพมหานคร, ประเทศไทย
การเอ็กซ์เรย์ชนิดทั้งปาก (Panoramic)
งบประมาณของแพ็คเกจทันตกรรมในประเทศไทย
การจัดฟัน
ความวิตกกังวล และความหวาดกลัวทางทันตกรรม
เอกสารรับรอง / และความสำเร็จของเรา
คำถามที่พบบ่อย
ค่าบริการ
ก่อนทำ/หลังทำ
ทีมงานของเรา
ที่พัก
บริการเสริม
บริการรับ-ส่ง
การฆ่าเชื้อโรค
รีวิวจากลูกค้า
ติดต่อเรา
ขั้นตอนการนัดหมาย
ติดต่อเรา
โปรโมชั่น
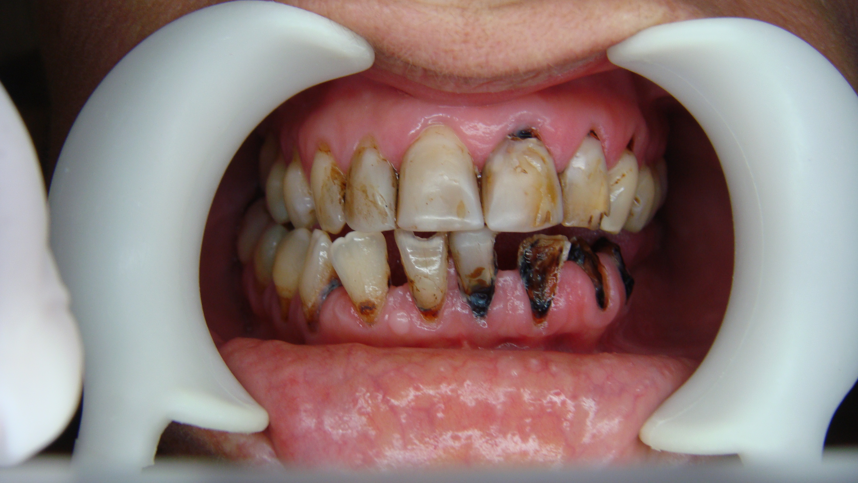
การบูรณะฟันทั้งปาก
รหัสผู้ป่วย :
2015-267
ประเทศ :
Australia
การรักษา :
Top Teeth: 8 Crowns
รหัสผู้ป่วย :
2015-401
ประเทศ :
UK
การรักษา :
Top Teeth: 8 Crowns
รหัสผู้ป่วย :
2015-342
ประเทศ :
Australia
การรักษา :
Top Teeth: 10 Crowns
รหัสผู้ป่วย :
2015-486
ประเทศ :
New Zealand
การรักษา :
Top Teeth: 11 Crowns
รหัสผู้ป่วย :
2008-4762
ประเทศ :
Singapore
การรักษา :
Top Teeth: 11 Crowns
รหัสผู้ป่วย :
2015-703
ประเทศ :
Australia
การรักษา :
Top Teeth: 8 Crowns
«
1
2
3
4
5
6
7
8
9
10
11
12
13
14
15
16
17
18
19
20
21
22
23
24
25
26
27
»
การนัดหมายเพื่อเข้ารับบริการทางทัณฑกรรมโดยทันที
ชื่อ-นามสกุล*
อีเมล*
เบอร์โทรติดต่อ*
เลือกประเทศของท่าน*
เลือกประเทศของท่าน*
Afghanistan
Albania
Algeria
American Samoa
Andorra
Angola
Anguilla
Antigua & Barbuda
Argentina
Armenia
Aruba
Australia
Austria
Azerbaijan
Azores
Bahamas
Bahrain
Bangladesh
Barbados
Belarus
Belgium
Belize
Benin
Bermuda
Bhutan
Bolivia
Bonaire
Bosnia & Herzegovina
Botswana
Brazil
British Indian Ocean Ter
Brunei
Bulgaria
Burkina
Burundi
Cambodia
Cameroon
Canada
Canary Islands
Cape Verde
Cayman Islands
Central African Republic
Chad
Channel Islands
Chile
Chaina
Christmas Island
Cocos Island
Columbia
Comoros
Congo
Cook Islands
Costa Rica
Cote D'Ivoire
Croatia
Cuba
Curacao
Cyprus
Czech Republic
Denmark
Djibouti
Dominica
Dominican Republic
East Timor
Ecuador
Egypt
El Salvador
Equatorial Guinea
Eritrea
Estonia
Ethiopia
Falkland Islands
Faroe Islands
Fiji
Finland
France
French Guiana
French Polynesia
French Southen Ter
Gabon
Gambia
Georgia
Germany
Ghana
Gibraltar
Great Britain
Greece
Greenland
Grenada
Guadeloupe
Guam
Gatemala
Guinea
Guyana
Haiti
Hawaii
Honduras
Hang Kong
Hungary
Iceland
India
Indonesia
Iran
Iraq
Ireland
Isle Of Man
Israel
Italy
Jamaica
Japan
Jordan
Kazakhstan
Kenya
Kiribati
Korea North
Korea South
Kuwait
Kyrgyzstan
Laos
Latvia
Lebanon
Lesotho
Liberia
Libya
Liechtenstein
Lithuania
Luxembourg
Macau
Macedonia
Madagascar
Malaysia
Malawi
Maldives
mali
Malta
Marshall Islands
Martinique
Mauritius
Mayotte
Mexico
Midway Islands
Moldova
Monaco
Mangolia
Montserrat
Morocco
Mozambique
Myanmar
Nambia
Nauru
Nepal
Netherland Antilles
Netherlands
Nevis
New Caledonia
New Zealand
Nicaragua
Niger
Nigeria
Niue
Norfolk Island
Norway
Oman
Pakistan
Palau Island
Palestine
Panama
Papua New Guinea
Paraguay
Peru
Philipines
Pitcairn Island
Poland
Portugal
Puerto Rico
Qatar
Reunion
Romania
Russia
Rwanda
St Barthelemy
St Eustatius
St Helena
St Kitts-Nevis
St Lucia
St Maarten
St Pierre & Miquelon
St Vincent & Grenadines
Saipan
Samoa
Samoa American
San Marino
Sao Tome & Principe
Saudi Arabia
Senegal
Seychelles
Serbia & Montenegro
Sierra Leone
Singapore
Slovakia
Slovenia
Solomon Islands
Somalia
South Africa
Spain
Sri Lanka
Sudan
Suriname
Swaziland
Sweden
Switzerland
Syria
Tahiti
Taiwan
Tajikistan
Tanzania
Thailand
Togo
Tokelau
Tonga
Trinidad & Tobago
Tunisia
Turkey
Turkmenistan
Turks & Caicos Is
Tuvalu
Uganda
Ukraine
United Arab Emirates
United Kingdom
United State of America
Uruguay
Uzbekistan
Vanuatu
Vatican City State
Venezuela
Vietnam
Virgin Islands (Brit)
Virgin Islands (USA)
Wake Island
Wallis & Futana Is
Yemen
Zaire
Zambia
Zimbabwe
เวลาที่ดีที่สุดในการติดต่อ
ชั่วโมง*...
01
02
03
04
05
06
07
08
09
10
11
12
13
14
15
16
17
18
19
20
21
22
23
24
นัดหมายทันที
Yes
No
เดือนที่ต้องการ
January
February
March
April
May
June
July
August
September
October
November
December
สอบถาม / ข้อความ *
กดส่ง