-
รหัสผู้ป่วย : 2015-72
ประเทศ : Australia
การรักษา : Top Teeth: 8 Veneers
-
รหัสผู้ป่วย : 2015-120
ประเทศ : Australia
การรักษา : Top Teeth: 6 Veneers
-
รหัสผู้ป่วย : 2015-100
ประเทศ : Australia
การรักษา : Top Teeth: 6 Veneers
-
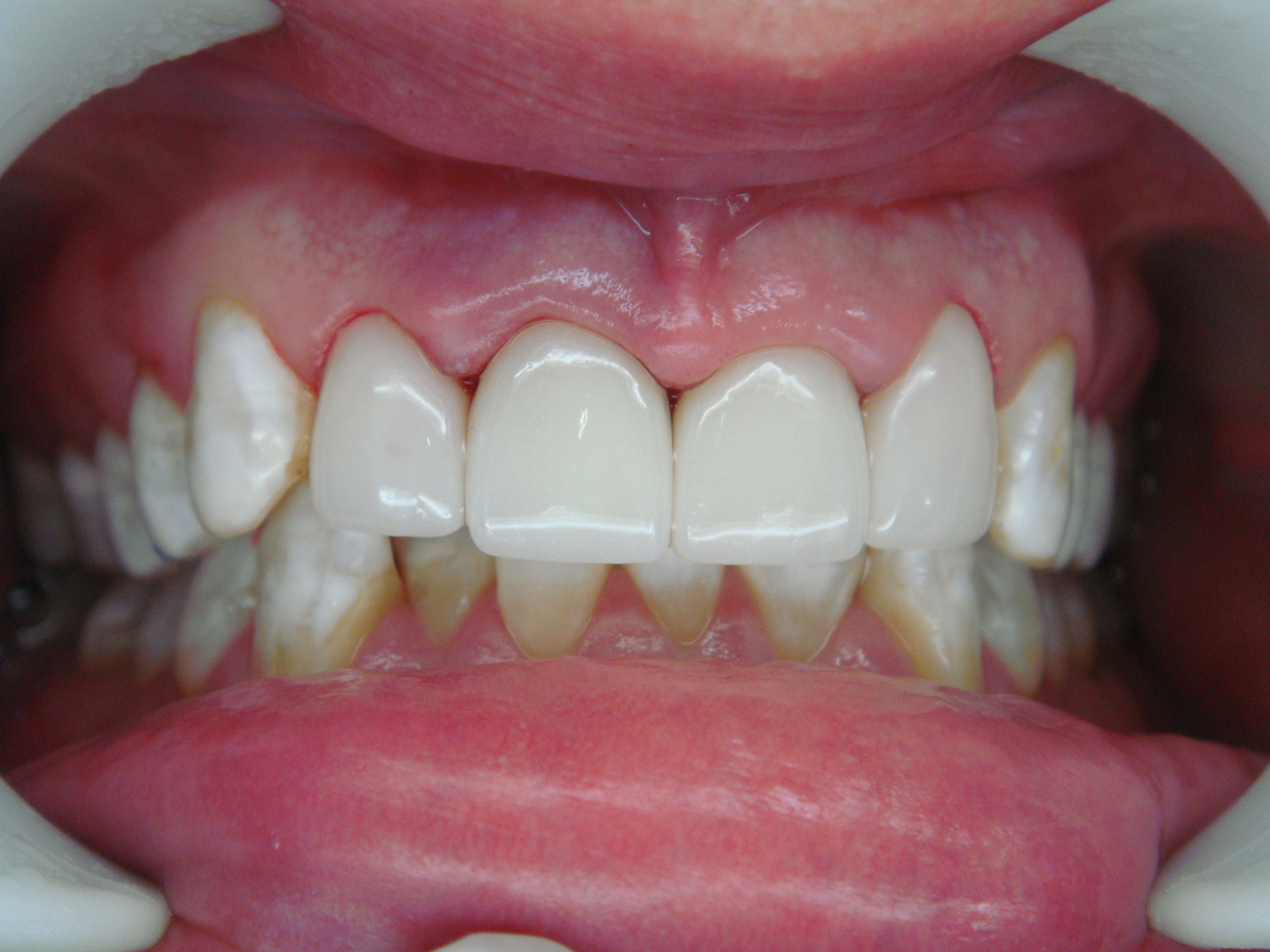
รหัสผู้ป่วย : 2015-319
ประเทศ : UK
การรักษา : Top Teeth: 4 Veneers
-
รหัสผู้ป่วย : 2015-462
ประเทศ : Australia
การรักษา : Top Teeth: 6 Veneers
-
รหัสผู้ป่วย : 2015-624
ประเทศ : UK
การรักษา : Top Teeth: 6 Veneers
การนัดหมายเพื่อเข้ารับบริการทางทัณฑกรรมโดยทันที







