-
รหัสผู้ป่วย : 2017-592
ประเทศ : Australia
การรักษา : 2 Crowns + 10 Bridges
-
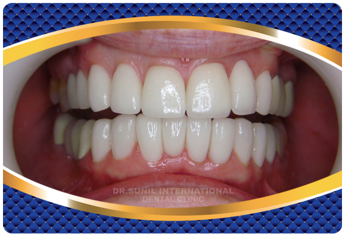
รหัสผู้ป่วย : 2017-586
ประเทศ : Australia
การรักษา : 6 Crowns
-
รหัสผู้ป่วย : 2017-583
ประเทศ : Australia
การรักษา : 17 Crowns + 7 Bridges
-
รหัสผู้ป่วย : 2017-570
ประเทศ : Australia
การรักษา : 12 Crowns + 6 Bridges
-
รหัสผู้ป่วย : 2017-568
ประเทศ : Australia
การรักษา : 5 Crowns + 6 Bridges
-
รหัสผู้ป่วย : 2017-550
ประเทศ : Thailand
การรักษา : 5 Crowns
การนัดหมายเพื่อเข้ารับบริการทางทัณฑกรรมโดยทันที







