-
รหัสผู้ป่วย : 2013-374
ประเทศ : Australia
การรักษา : Top Teeth : 6 Crowns
-
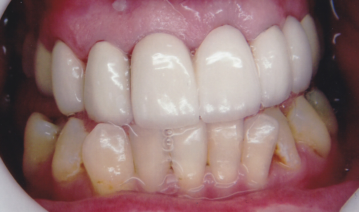
รหัสผู้ป่วย : 2013-338
ประเทศ : Australia
การรักษา : Top Teeth : 8 Crowns Bottom Teeth : Whitening
-
รหัสผู้ป่วย : 2014-166
ประเทศ : Australia
การรักษา : Top Teeth: 8 Crowns
-
รหัสผู้ป่วย : 2014-215
ประเทศ : Australia
การรักษา : Top Teeth : 4-Unit Bridge
-
รหัสผู้ป่วย : 2013-638
ประเทศ : Australia
การรักษา : Top Teeth : 2 Crowns #2 Bridges
-
รหัสผู้ป่วย : 2013-627
ประเทศ : Australia
การรักษา : Top Teeth : 6-Unit Bridge
การนัดหมายเพื่อเข้ารับบริการทางทัณฑกรรมโดยทันที







